别名:Meiotic recombination protein DMC1/LIM15 homolog, DMC1, DMC1H, LIM15应用:WB,IHC,FCM
反应种属:Human
规格:50μl/100μl
| Description |
|---|
| DMC1 is essential for meiotic homologous recombination. Genetic recombination in meiosis plays an important role in generating diversity of genetic information. The product of this protein is structurally and evolutionary related to the products of the yeast RAD51 and E. coli RecA genes. |
| Specification | |
|---|---|
| Aliases | Meiotic recombination protein DMC1/LIM15 homolog, DMC1, DMC1H, LIM15 |
| Entrez GeneID | 11144 |
| Swissprot | Q14565 |
| WB Predicted band size | 37.7kDa |
| Host/Isotype | Rabbit IgG |
| Storage | Store at 4°C short term. Aliquot and store at -20°C long term. Avoid freeze/thaw cycles. |
| Species Reactivity | Human |
| Immunogen | This DMC1 antibody is generated from rabbits immunized with a KLH conjugated synthetic peptide between 1-30 amino acids from the N-terminal region of human DMC1. |
| Formulation | Purified polyclonal antibody supplied in PBS with 0.05% sodium azide. This antibody is purified through a protein A column, followed by peptide affinity purification. |
| Application | |
|---|---|
| WB | 1/1000 |
| IHC | 1/100-1/500 |
| FCM | 1/10-1/50 |
![]() |
Western blot analysis of DMC1 Antibody (N-term) (Cat. #P30492) in MDA-MB435 cell line lysates (35ug/lane). DMC1 (arrow) was detected using the purified Pab. |
![]() |
DMC1 Antibody (N-term) (Cat. #P30492) flow cytometric analysis of CEM cells (bottom histogram) compared to a negative control cell (top histogram).FITC-conjugated goat-anti-rabbit secondary antibodies were used for the analysis. |
![]() |
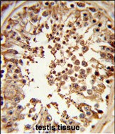
Formalin-fixed and paraffin-embedded human testis tissue reacted with DMC1 Antibody (N-term), which was peroxidase-conjugated to the secondary antibody, followed by DAB staining. This data demonstrates the use of this antibody for immunohistochemistry; clinical relevance has not been evaluated. |
本公司的所有产品仅用于科学研究或者工业应用等非医疗目的,不可用于人类或动物的临床诊断或治疗,非药用,非食用。
暂无评论
本公司的所有产品仅用于科学研究或者工业应用等非医疗目的,不可用于人类或动物的临床诊断或治疗,非药用,非食用。
中文



发表回复