别名:Extracellular serine/threonine protein kinase FAM20C, Dentin matrix protein 4, DMP-4, Golgi-enriched fraction casein kinase, GEF-CK, Protein FAM20C, FAM20C, DMP4应用:WB,IHC
反应种属:Human
规格:50μl/100μl
| Description |
|---|
| Calcium-binding protein which may play a role in dentin mineralization (By similarity). |
| Specification | |
|---|---|
| Aliases | Extracellular serine/threonine protein kinase FAM20C, Dentin matrix protein 4, DMP-4, Golgi-enriched fraction casein kinase, GEF-CK, Protein FAM20C, FAM20C, DMP4 |
| Entrez GeneID | 56975 |
| Swissprot | Q8IXL6 |
| WB Predicted band size | 66.2kDa |
| Host/Isotype | Rabbit IgG |
| Storage | Store at 4°C short term. Aliquot and store at -20°C long term. Avoid freeze/thaw cycles. |
| Species Reactivity | Human |
| Immunogen | This DMP4 antibody is generated from rabbits immunized with a KLH conjugated synthetic peptide between 443-471 amino acids from the C-terminal region of human DMP4. |
| Formulation | Purified polyclonal antibody supplied in PBS with 0.05% sodium azide. This antibody is purified through a protein A column, followed by peptide affinity purification. |
| Application | |
|---|---|
| WB | 1/1000 |
| IHC | 1/100-1/500 |
![]() |
DMP4 Antibody (C-term) (Cat. #P30885) western blot analysis in HepG2 cell line lysates (35ug/lane).This demonstrates the DMP4 antibody detected the DMP4 protein (arrow). |
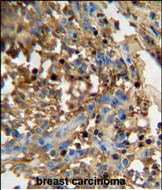
![]() |
DMP4 antibody (C-term) (Cat. #P30885) immunohistochemistry analysis in formalin fixed and paraffin embedded human breast carcinoma followed by peroxidase conjugation of the secondary antibody and DAB staining. This data demonstrates the use of the DMP4 antibody (C-term) for immunohistochemistry. Clinical relevance has not been evaluated. |
本公司的所有产品仅用于科学研究或者工业应用等非医疗目的,不可用于人类或动物的临床诊断或治疗,非药用,非食用。
暂无评论
本公司的所有产品仅用于科学研究或者工业应用等非医疗目的,不可用于人类或动物的临床诊断或治疗,非药用,非食用。
中文


发表回复