别名:DOKL应用:WB,IHC
反应种属:Human
规格:50μl/100μl
| Description |
|---|
| DOK3 gene maps to chromosome 5q35.3. Dok3 was tyrosine phosphorylated by Src family members Lck, Fyn, and Lyn. Immunoprecipitation studies showed that Dok3 bound inhibitors SHIP and Csk but did not bind RasGAP. Dok3 binding to SHIP occurred via the SH2 domain. Dok3 also bound Csk via the Csk SH2 domain with possible involvement of the Csk SH3 domain as well.DOK proteins are enzymatically inert adaptor or scaffolding proteins. They provide a docking platform for the assembly of multimolecular signaling complexes. DOK3 is a negative regulator of JNK signaling in B-cells through interaction with INPP5D/SHIP1. May modulate ABL1 function |
| Specification | |
|---|---|
| Aliases | DOKL |
| Swissprot | Q7L591 |
| WB Predicted band size | 53 kDa |
| Host/Isotype | Rabbit IgG |
| Storage | Store at 4°C short term. Aliquot and store at -20°C long term. Avoid freeze/thaw cycles. |
| Species Reactivity | Human |
| Immunogen | Fusion protein of human DOK3 |
| Formulation | pH7.4 PBS, 0.05% NaN3, 40% Glycerol |
| Application | |
|---|---|
| WB | 1/200-1/1000 |
| IHC | 1/25-1/100 |
| ELISA | 1/1000-1/2000 |
![]() |
Gel: 10%SDS-PAGE, Lysate: 40 μg, Lane: Human notum skin cancer tissue, Primary antibody: P07260(DOK3 Antibody) at dilution 1/250, Secondary antibody: Goat anti rabbit IgG at 1/8000 dilution, Exposure time: 30 seconds |
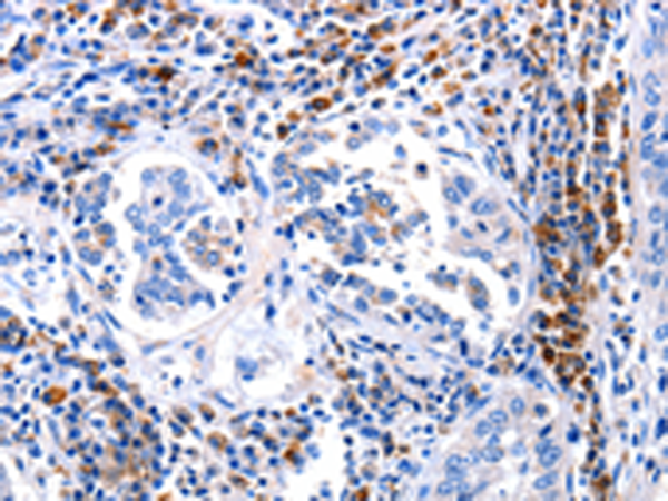
![]() |
The image is immunohistochemistry of paraffin-embedded Human lung cancer tissue using P07260(DOK3 Antibody) at dilution 1/25. (Original magnification: ×200) |
本公司的所有产品仅用于科学研究或者工业应用等非医疗目的,不可用于人类或动物的临床诊断或治疗,非药用,非食用。
暂无评论
本公司的所有产品仅用于科学研究或者工业应用等非医疗目的,不可用于人类或动物的临床诊断或治疗,非药用,非食用。
中文


发表回复