别名:Dipeptidyl peptidase 8, DP8, Dipeptidyl peptidase IV-related protein 1, DPRP-1, Dipeptidyl peptidase VIII, DPP VIII, Prolyl dipeptidase DPP8, DPP8, DPRP1应用:WB,IHC,FCM
反应种属:Human
规格:50μl/100μl
| Description |
|---|
| DPP8 is a member of the peptidase S9B family, a small family of dipeptidyl peptidases that are able to cleave peptide substrates at a prolyl bond. The protein shares similarity with dipeptidyl peptidase IV in that it is ubiquitously expressed, and hydrolyzes the same substrates. These similarities suggest that, like dipeptidyl peptidase IV, this protein may play a role in T-cell activation and immune function. |
| Specification | |
|---|---|
| Aliases | Dipeptidyl peptidase 8, DP8, Dipeptidyl peptidase IV-related protein 1, DPRP-1, Dipeptidyl peptidase VIII, DPP VIII, Prolyl dipeptidase DPP8, DPP8, DPRP1 |
| Entrez GeneID | 54878 |
| Swissprot | Q6V1X1 |
| WB Predicted band size | 103.4kDa |
| Host/Isotype | Rabbit IgG |
| Storage | Store at 4°C short term. Aliquot and store at -20°C long term. Avoid freeze/thaw cycles. |
| Species Reactivity | Human |
| Immunogen | This DPP8 antibody is generated from rabbits immunized with a KLH conjugated synthetic peptide between 846-876 amino acids from the C-terminal region of human DPP8. |
| Formulation | Purified polyclonal antibody supplied in PBS with 0.05% sodium azide. This antibody is prepared by Saturated Ammonium Sulfate (SAS) precipitation followed by dialysis against PBS. |
| Application | |
|---|---|
| WB | 1/1000 |
| IHC | 1/100-1/500 |
| FCM | 1/10-1/50 |
![]() |
Western blot analysis of DPP8 antibody (C-term) (Cat.# P30375) in 293 cell line lysates (35ug/lane). DPP8 (arrow) was detected using the purified Pab. |
![]() |
DPP8 Antibody (C-term) (Cat. #P30375) flow cytometric analysis of 293 cells (right histogram) compared to a negative control cell (left histogram).FITC-conjugated goat-anti-rabbit secondary antibodies were used for the analysis. |
![]() |
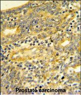
DPP8 Antibody (C-term) (Cat.# P30375) IHC analysis in formalin fixed and paraffin embedded human Prostate carcinoma followed by peroxidase conjugation of the secondary antibody and DAB staining. This data demonstrates the use of the DPP8 Antibody (C-term) for immunohistochemistry. Clinical relevance has not been evaluated. |
本公司的所有产品仅用于科学研究或者工业应用等非医疗目的,不可用于人类或动物的临床诊断或治疗,非药用,非食用。
暂无评论
本公司的所有产品仅用于科学研究或者工业应用等非医疗目的,不可用于人类或动物的临床诊断或治疗,非药用,非食用。
中文



发表回复