别名:2410091M23Rik应用:WB,IHC
反应种属:Human
规格:50μl/100μl
| Description |
|---|
| This gene encodes a nuclear factor that is involved in the maintenance of pluripotency in stem cells and essential for embryogenesis. The encoded protein has a scaffold-attachment factor A/B, acinus and PIAS (SAP) domain that binds DNA and is thought to modify chromatin. Mice with a homozygous knockout of the orthologous gene die during late embryonic development or within hours after birth. Knockout embryos are normal in size at embryonic day 18.5 but exhibit skeletal and lung tissue abnormalities. This gene, when mutated, is highly expressed in embryonal carcinomas, pluripotent germ cell tumors, and other cancers and is thought to play an important role in tumor progression. Multiple pseudogenes of this gene have been identified. Alternative splicing results in multiple transcript variants. |
| Specification | |
|---|---|
| Aliases | 2410091M23Rik |
| Swissprot | Q7L190 |
| WB Predicted band size | 34 kDa |
| Host/Isotype | Rabbit IgG |
| Storage | Store at 4°C short term. Aliquot and store at -20°C long term. Avoid freeze/thaw cycles. |
| Species Reactivity | Human |
| Immunogen | Synthetic peptide of human DPPA4 |
| Formulation | pH7.4 PBS, 0.05% NaN3, 40% Glycerol |
| Application | |
|---|---|
| WB | 1/200-1/1000 |
| IHC | 1/40-1/200 |
| ELISA | 1/5000-1/10000 |
![]() |
Gel: 8%SDS-PAGE, Lysate: 40 μg, Lane: Human placenta tissue lysate, Primary antibody: P05754(DPPA4 Antibody) at dilution 1/250, Secondary antibody: Goat anti rabbit IgG at 1/8000 dilution, Exposure time: 40 seconds |
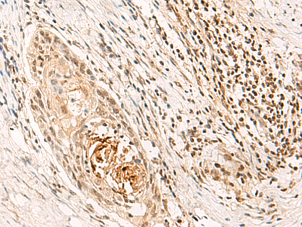
![]() |
The image is immunohistochemistry of paraffin-embedded Human esophagus cancer tissue using P05754(DPPA4 Antibody) at dilution 1/45. (Original magnification: ×200) |
本公司的所有产品仅用于科学研究或者工业应用等非医疗目的,不可用于人类或动物的临床诊断或治疗,非药用,非食用。
暂无评论
本公司的所有产品仅用于科学研究或者工业应用等非医疗目的,不可用于人类或动物的临床诊断或治疗,非药用,非食用。
中文


发表回复