别名:DRP3; ULIP; CRMP4; DRP-3; LCRMP; CRMP-4; ULIP-1应用:WB,IHC
反应种属:Human, Mouse, Rat
规格:50μl/100μl
| Description |
|---|
| Necessary for signaling by class 3 semaphorins and subsequent remodeling of the cytoskeleton. Plays a role in axon guidance, neuronal growth cone collapse and cell migration (By similarity). |
| Specification | |
|---|---|
| Aliases | DRP3; ULIP; CRMP4; DRP-3; LCRMP; CRMP-4; ULIP-1 |
| Swissprot | Q14195 |
| WB Predicted band size | 62 kDa |
| Host/Isotype | Rabbit IgG |
| Storage | Store at 4°C short term. Aliquot and store at -20°C long term. Avoid freeze/thaw cycles. |
| Species Reactivity | Human, Mouse, Rat |
| Immunogen | Fusion protein of human DPYSL3 |
| Formulation | pH7.4 PBS, 0.05% NaN3, 40% Glycerol |
| Application | |
|---|---|
| WB | 1/1000-1/5000 |
| IHC | 1/50-1/200 |
| ELISA | 1/5000-1/10000 |
![]() |
Gel: 8%SDS-PAGE, Lysate: 40 μg, Lane 1-3: Human cerebrum tissue, Human cerebella tissue, Mouse brain tissue lysates, Primary antibody: P02727(DPYSL3 Antibody) at dilution 1/800, Secondary antibody: Goat anti rabbit IgG at 1/5000 dilution, Exposure time: 5 seconds |
![]() |
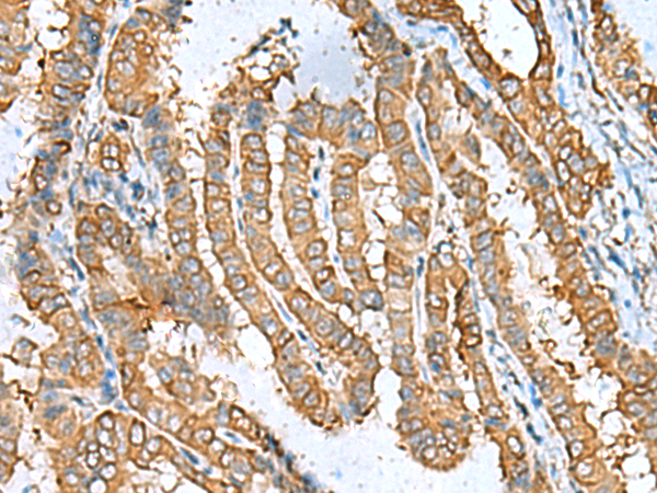
The image is immunohistochemistry of paraffin-embedded Human thyroid cancer tissue using P02727(DPYSL3 Antibody) at dilution 1/55. (Original magnification: ×200) |
![]() |
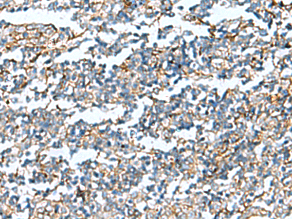
The image is immunohistochemistry of paraffin-embedded Human tonsil tissue using P02727(DPYSL3 Antibody) at dilution 1/55. (Original magnification: ×200) |
本公司的所有产品仅用于科学研究或者工业应用等非医疗目的,不可用于人类或动物的临床诊断或治疗,非药用,非食用。
暂无评论
本公司的所有产品仅用于科学研究或者工业应用等非医疗目的,不可用于人类或动物的临床诊断或治疗,非药用,非食用。
中文



发表回复