别名:CRMP3, DRP-4, ULIP4应用:WB,IHC
反应种属:Human, Mouse, Rat
规格:50μl/100μl
| Description |
|---|
| Collapsin response mediator protein 3 is an enzyme that in humans is encoded by the CRMP3 gene.It is necessary for signaling by class 3 semaphorins and subsequent remodeling of the cytoskeleton.And plays a role in axon guidance, neuronal growth cone collapse and cell migration.Homotetramer, and heterotetramer with CRMP1, DPYSL2, DPYSL3 or DPYSL5. Interacts with PLEXA1. Phosphorylated upon DNA damage, probably by ATM or ATR. |
| Specification | |
|---|---|
| Aliases | CRMP3, DRP-4, ULIP4 |
| Swissprot | O14531 |
| WB Predicted band size | 62 kDa |
| Host/Isotype | Rabbit IgG |
| Storage | Store at 4°C short term. Aliquot and store at -20°C long term. Avoid freeze/thaw cycles. |
| Species Reactivity | Human, Mouse, Rat |
| Immunogen | Synthetic peptide of human DPYSL4 |
| Formulation | pH7.4 PBS, 0.05% NaN3, 40% Glycerol |
| Application | |
|---|---|
| WB | 1/500-1/1000 |
| IHC | 1/25-1/100 |
| ELISA | 1/1000-1/5000 |
![]() |
Gel: 8%SDS-PAGE, Lysate: 30 μg, Lane: Human fetal brain tissue, Primary antibody: P03836(DPYSL4 Antibody) at dilution 1/500, Secondary antibody: Goat anti rabbit IgG at 1/8000 dilution, Exposure time: 20 seconds |
![]() |
The image is immunohistochemistry of paraffin-embedded Human cervical cancer tissue using P03836(DPYSL4 Antibody) at dilution 1/15. (Original magnification: ×200) |
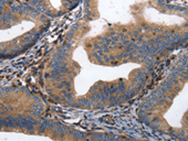
![]() |
The image is immunohistochemistry of paraffin-embedded Human ovarian cancer tissue using P03836(DPYSL4 Antibody) at dilution 1/15. (Original magnification: ×200) |
本公司的所有产品仅用于科学研究或者工业应用等非医疗目的,不可用于人类或动物的临床诊断或治疗,非药用,非食用。
暂无评论
本公司的所有产品仅用于科学研究或者工业应用等非医疗目的,不可用于人类或动物的临床诊断或治疗,非药用,非食用。
中文



发表回复