别名:CV2; CRAM; CRMP5; Ulip6; CRMP-5应用:WB,IHC
反应种属:Human, Mouse, Rat
规格:50μl/100μl
| Description |
|---|
| This gene encodes a member of the CRMP (collapsing response mediator protein) family thought to be involved in neural development. Antibodies to the encoded protein were found in some patients with neurologic symptoms who had paraneoplastic syndrome. A pseudogene of this gene is found on chromosome 11. Multiple alternatively spliced variants, encoding the same protein, have been identified. |
| Specification | |
|---|---|
| Aliases | CV2; CRAM; CRMP5; Ulip6; CRMP-5 |
| Swissprot | Q9BPU6 |
| WB Predicted band size | 61 kDa |
| Host/Isotype | Rabbit IgG |
| Storage | Store at 4°C short term. Aliquot and store at -20°C long term. Avoid freeze/thaw cycles. |
| Species Reactivity | Human, Mouse, Rat |
| Immunogen | Synthetic peptide of human DPYSL5 |
| Formulation | pH7.4 PBS, 0.05% NaN3, 40% Glycerol |
| Application | |
|---|---|
| WB | 1/200-1/1000 |
| IHC | 1/50-1/100 |
| ELISA | 1/5000-1/10000 |
![]() |
Gel: 8%SDS-PAGE, Lysate: 40 μg, Lane: Mouse brain tissue lysate, Primary antibody: P03838(DPYSL5 Antibody) at dilution 1/400, Secondary antibody: Goat anti rabbit IgG at 1/5000 dilution, Exposure time: 20 seconds |
![]() |
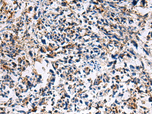
The image is immunohistochemistry of paraffin-embedded Human ovarian cancer tissue using P03838(DPYSL5 Antibody) at dilution 1/25. (Original magnification: ×200) |
![]() |
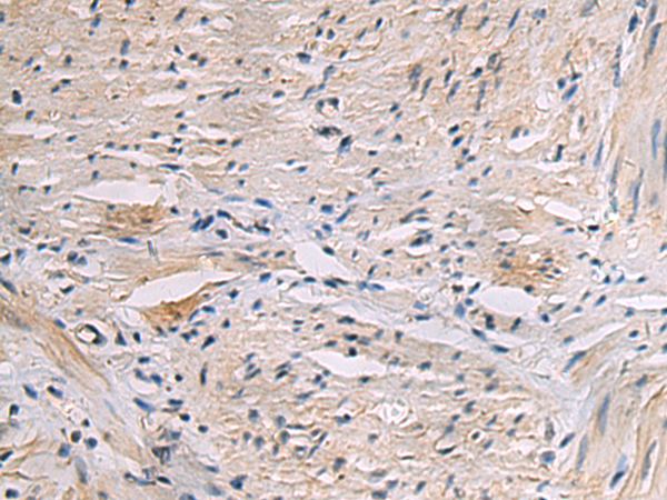
The image is immunohistochemistry of paraffin-embedded Human gastric cancer tissue using P03838(DPYSL5 Antibody) at dilution 1/25. (Original magnification: ×200) |
本公司的所有产品仅用于科学研究或者工业应用等非医疗目的,不可用于人类或动物的临床诊断或治疗,非药用,非食用。
暂无评论
本公司的所有产品仅用于科学研究或者工业应用等非医疗目的,不可用于人类或动物的临床诊断或治疗,非药用,非食用。
中文



发表回复