别名:RGM domain family member B, DRG11-responsive axonal guidance and outgrowth of neurite, DRAGON, RGMB应用:WB,IHC
反应种属:Human, Mouse
规格:50μl/100μl
| Description |
|---|
| Repulsive Guidance Molecule B (RGMB) is primarily expressed in the central nervous system. RGM A and B both appear at every level of the developing neural axis, where they colocalize to a large extent in the mantle layer, although only RGMA appears in the neuroepithelium, and only RGMB in the peripheral nervous system. During development, both RGMA and B appear also in lung and in limb cartilage, while RGMB has additional expression domains in pancreas. |
| Specification | |
|---|---|
| Aliases | RGM domain family member B, DRG11-responsive axonal guidance and outgrowth of neurite, DRAGON, RGMB |
| Entrez GeneID | 285704 |
| Swissprot | Q6NW40 |
| WB Predicted band size | 47.5kDa |
| Host/Isotype | Rabbit IgG |
| Storage | Store at 4°C short term. Aliquot and store at -20°C long term. Avoid freeze/thaw cycles. |
| Species Reactivity | Human, Mouse |
| Immunogen | This DRAGON (RGMB) antibody is generated from rabbits immunized with a KLH conjugated synthetic peptide between 376-406 amino acids from the C-terminal region of human DRAGON (RGMB). |
| Formulation | Purified rabbit polyclonal antibody supplied in PBS with 0.05% sodium azide. This antibody is purified through a protein G column, eluted with high and low pH buffers and neutralized immediately, followed by dialysis against PBS. |
| Application | |
|---|---|
| WB | 1/1000 |
| IHC | 1/100-1/500 |
![]() |
Western blot analysis of DRAGON (RGMB) Antibody (C-term) in K562 cell line lysates (35ug/lane). DRAGON (arrow) was detected using the purified Pab. |
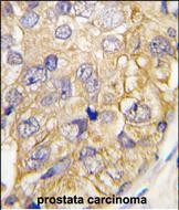
![]() |
Formalin-fixed and paraffin-embedded human prostata carcinoma tissue reacted with DRAGON (RGMB) (C-term) (Cat.#P30230), which was peroxidase-conjugated to the secondary antibody, followed by DAB staining. This data demonstrates the use of this antibody for immunohistochemistry; clinical relevance has not been evaluated. |
本公司的所有产品仅用于科学研究或者工业应用等非医疗目的,不可用于人类或动物的临床诊断或治疗,非药用,非食用。
暂无评论
本公司的所有产品仅用于科学研究或者工业应用等非医疗目的,不可用于人类或动物的临床诊断或治疗,非药用,非食用。
中文


发表回复