别名:DNM1L; DLP1; DRP1; Dynamin-1-like protein; Dnm1p/Vps1p-like protein; DVLP; Dynamin family member proline-rich carboxyl-terminal domain less; Dymple; Dynamin-like protein; Dynamin-like protein 4; Dynamin-like protein IV; HdynIV; Dynamin-rela应用:WB,IHC
反应种属:Human,Mouse,Rat
规格:50μl/100μl
| Description |
|---|
| The protein encoded by this gene is a member of the dynamin superfamily of GTPases. Members of the dynamin-related subfamily, including the S. cerevisiae proteins Dnm1 and Vps1, contain the N-terminal tripartite GTPase domain but do not have the pleckstrin homology or proline-rich domains. This protein establishes mitochondrial morphology through a role in distributing mitochondrial tubules throughout the cytoplasm. The gene has 3 alternatively spliced transcripts encoding different isoforms. These transcripts are alternatively polyadenylated. |
| Specification | |
|---|---|
| Aliases | DNM1L; DLP1; DRP1; Dynamin-1-like protein; Dnm1p/Vps1p-like protein; DVLP; Dynamin family member proline-rich carboxyl-terminal domain less; Dymple; Dynamin-like protein; Dynamin-like protein 4; Dynamin-like protein IV; HdynIV; Dynamin-rela |
| Entrez GeneID | 10059 |
| Swissprot | O00429 |
| WB Predicted band size | Calculated MW: 82 kDa; Observed MW: 82 kDa |
| Host/Isotype | Rabbit IgG |
| Storage | Store at 4°C short term. Aliquot and store at -20°C long term. Avoid freeze/thaw cycles. |
| Species Reactivity | Human,Mouse,Rat |
| Immunogen | KLH coupled human protein peptide 60-140 |
| Formulation | Liquid in PBS containing 50% glycerol, 0.5% BSA and 0.02% sodium azide, pH 7.3. |
| Application | |
|---|---|
| WB | 1/500-1/1000 |
| IHC | 1/50-1/100 |
![]() |
Western blot analysis of DRP1 in Hela lysates using DRP1 antibody. |
![]() |
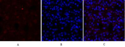
Immunofluorescence analysis of DRP1 in rat lung using DRP1 antibody(red),and DAPI (blue). |
![]() |
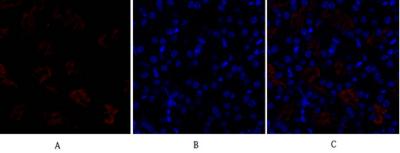
Immunofluorescence analysis of DRP1 in mouse kidney using DRP1 antibody(red),and DAPI (blue) |
![]() |
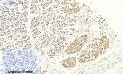
Immunohistochemistry analysis of paraffin-embedded Human stomach cancer using DRP1 antibody.High-pressure and temperature Sodium Citrate pH 6.0 was used for antigen retrieval. Negative control was used by secondary antibody only. |
本公司的所有产品仅用于科学研究或者工业应用等非医疗目的,不可用于人类或动物的临床诊断或治疗,非药用,非食用。
暂无评论
本公司的所有产品仅用于科学研究或者工业应用等非医疗目的,不可用于人类或动物的临床诊断或治疗,非药用,非食用。
中文




发表回复