别名:DSC; DSC1; DSC2; DSC4; CDHF3; HT-CP应用:IHC
反应种属:Human, Mouse
规格:50μl/100μl
| Description |
|---|
| The protein encoded by this gene is a calcium-dependent glycoprotein that is a member of the desmocollin subfamily of the cadherin superfamily. These desmosomal family members, along with the desmogleins, are found primarily in epithelial cells where they constitute the adhesive proteins of the desmosome cell-cell junction and are required for cell adhesion and desmosome formation. The desmosomal family members are arranged in two clusters on chromosome 18, occupying less than 650 kb combined. Mutations in this gene are a cause of hypotrichosis and recurrent skin vesicles disorder. The protein can act as an autoantigen in pemphigus diseases, and it is also considered to be a biomarker for some cancers. Alternative splicing of this gene results in multiple transcript variants. |
| Specification | |
|---|---|
| Aliases | DSC; DSC1; DSC2; DSC4; CDHF3; HT-CP |
| Swissprot | Q14574 |
| Host/Isotype | Rabbit IgG |
| Storage | Store at 4°C short term. Aliquot and store at -20°C long term. Avoid freeze/thaw cycles. |
| Species Reactivity | Human, Mouse |
| Immunogen | Synthetic peptide of human DSC3 |
| Formulation | pH7.4 PBS, 0.05% NaN3, 40% Glycerol |
| Application | |
|---|---|
| IHC | 1/20-1/100 |
| ELISA | 1/5000-1/10000 |
![]() |
The image is immunohistochemistry of paraffin-embedded Human gastric cancer tissue using P13261(DSC3 Antibody) at dilution 1/20. (Original magnification: ×200) |
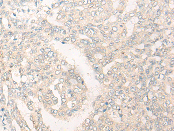
![]() |
The image is immunohistochemistry of paraffin-embedded Human liver cancer tissue using P13261(DSC3 Antibody) at dilution 1/20. (Original magnification: ×200) |
本公司的所有产品仅用于科学研究或者工业应用等非医疗目的,不可用于人类或动物的临床诊断或治疗,非药用,非食用。
暂无评论
本公司的所有产品仅用于科学研究或者工业应用等非医疗目的,不可用于人类或动物的临床诊断或治疗,非药用,非食用。
中文


发表回复