别名:MNB; DYRK; HP86; MNBH; MRD7; DYRK1应用:WB,IHC
反应种属:Human, Mouse, Rat
规格:50μl/100μl
| Description |
|---|
| This gene encodes a member of the Dual-specificity tyrosine phosphorylation-regulated kinase (DYRK) family. This member contains a nuclear targeting signal sequence, a protein kinase domain, a leucine zipper motif, and a highly conservative 13-consecutive-histidine repeat. It catalyzes its autophosphorylation on serine/threonine and tyrosine residues. It may play a significant role in a signaling pathway regulating cell proliferation and may be involved in brain development. This gene is a homolog of Drosophila mnb (minibrain) gene and rat Dyrk gene. It is localized in the Down syndrome critical region of chromosome 21, and is considered to be a strong candidate gene for learning defects associated with Down syndrome. Alternative splicing of this gene generates several transcript variants differing from each other either in the 5′ UTR or in the 3′ coding region. These variants encode at least five different isoforms. |
| Specification | |
|---|---|
| Aliases | MNB; DYRK; HP86; MNBH; MRD7; DYRK1 |
| Swissprot | Q13627 |
| WB Predicted band size | 85 kDa |
| Host/Isotype | Rabbit IgG |
| Storage | Store at 4°C short term. Aliquot and store at -20°C long term. Avoid freeze/thaw cycles. |
| Species Reactivity | Human, Mouse, Rat |
| Immunogen | Synthetic peptide of human DYRK1A |
| Formulation | pH7.4 PBS, 0.05% NaN3, 40% Glycerol |
| Application | |
|---|---|
| WB | 1/200-1/1000 |
| IHC | 1/25-1/100 |
| ELISA | 1/5000-1/10000 |
![]() |
Gel: 6%SDS-PAGE, Lysate: 40 μg, Lane 1-4: 293T, HEPG2, K562 and PC-3 cell lysates, Primary antibody: P13162(DYRK1A Antibody) at dilution 1/200, Secondary antibody: Goat anti rabbit IgG at 1/8000 dilution, Exposure time: 5 seconds |
![]() |
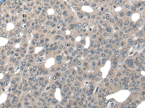
The image is immunohistochemistry of paraffin-embedded Human liver cancer tissue using P13162(DYRK1A Antibody) at dilution 1/30. (Original magnification: ×200) |
![]() |
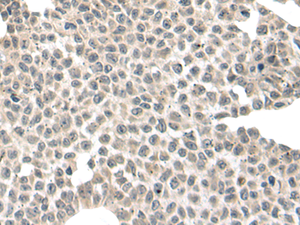
The image is immunohistochemistry of paraffin-embedded Human ovarian cancer tissue using P13162(DYRK1A Antibody) at dilution 1/30. (Original magnification: ×200) |
本公司的所有产品仅用于科学研究或者工业应用等非医疗目的,不可用于人类或动物的临床诊断或治疗,非药用,非食用。
暂无评论
本公司的所有产品仅用于科学研究或者工业应用等非医疗目的,不可用于人类或动物的临床诊断或治疗,非药用,非食用。
中文



发表回复