别名:Dual specificity tyrosine-phosphorylation-regulated kinase 2, DYRK2应用:WB,IHC
反应种属:Human, Mouse, Rat
规格:50μl/100μl
| Description |
|---|
| DYRK2 belongs to a family of protein kinases whose members are presumed to be involved in cellular growth and/or development. The family is defined by structural similarity of their kinase domains and their capability to autophosphorylate on tyrosine residues. DYRK2 has demonstrated tyrosine autophosphorylation and catalyzed phosphorylation of histones H3 and H2B in vitro. |
| Specification | |
|---|---|
| Aliases | Dual specificity tyrosine-phosphorylation-regulated kinase 2, DYRK2 |
| Entrez GeneID | 8445 |
| Swissprot | Q92630 |
| WB Predicted band size | 66.7kDa |
| Host/Isotype | Rabbit IgG |
| Storage | Store at 4°C short term. Aliquot and store at -20°C long term. Avoid freeze/thaw cycles. |
| Species Reactivity | Human, Mouse, Rat |
| Immunogen | This DYRK2 antibody is generated from rabbits immunized with a KLH conjugated synthetic peptide between 105-135 amino acids from the N-terminal region of human DYRK2. |
| Formulation | Purified polyclonal antibody supplied in PBS with 0.05% sodium azide. This antibody is prepared by Saturated Ammonium Sulfate (SAS) precipitation followed by dialysis against PBS. |
| Application | |
|---|---|
| WB | 1/1000 |
| IHC | 1/100-1/500 |
![]() |
Western blot analysis of lysates from CEM, Hela cell line (from left to right), using DYRK2 Antibody (P46) (Cat. #P32616). P32616 was diluted at 1:1000 at each lane. A goat anti-rabbit IgG H&L(HRP) at 1:5000 dilution was used as the secondary antibody. Lysates at 35ug per lane. |
![]() |
The anti-DYRK2 Pab (Cat. #P32616) is used in Western blot to detect DYRK2 in 293 cell lysate. |
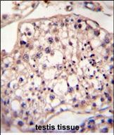
![]() |
DYRK2 Antibody (N-term) (Cat. #P32616)immunohistochemistry analysis in formalin fixed and paraffin embedded human testis tissue followed by peroxidase conjugation of the secondary antibody and DAB staining.This data demonstrates the use of DYRK2 Antibody (N-term) for immunohistochemistry. Clinical relevance has not been evaluated. |
本公司的所有产品仅用于科学研究或者工业应用等非医疗目的,不可用于人类或动物的临床诊断或治疗,非药用,非食用。
暂无评论
本公司的所有产品仅用于科学研究或者工业应用等非医疗目的,不可用于人类或动物的临床诊断或治疗,非药用,非食用。
中文



发表回复