别名:COE3; OE-2; EBF-3; HADDS; O/E-2应用:WB,IHC
反应种属:Human, Mouse
规格:50μl/100μl
| Description |
|---|
| This gene encodes a member of the early B-cell factor (EBF) family of DNA binding transcription factors. EBF proteins are involved in B-cell differentiation, bone development and neurogenesis, and may also function as tumor suppressors. The encoded protein inhibits cell survival through the regulation of genes involved in cell cycle arrest and apoptosis, and aberrant methylation or deletion of this gene may play a role in multiple malignancies including glioblastoma multiforme and gastric carcinoma. |
| Specification | |
|---|---|
| Aliases | COE3; OE-2; EBF-3; HADDS; O/E-2 |
| Swissprot | Q9H4W6 |
| WB Predicted band size | 65 kDa |
| Host/Isotype | Rabbit IgG |
| Storage | Store at 4°C short term. Aliquot and store at -20°C long term. Avoid freeze/thaw cycles. |
| Species Reactivity | Human, Mouse |
| Immunogen | Fusion protein of human EBF3 |
| Formulation | pH7.4 PBS, 0.05% NaN3, 40% Glycerol |
| Application | |
|---|---|
| WB | 1/1000-1/5000 |
| IHC | 1/100-1/300 |
| ELISA | 1/5000-1/10000 |
![]() |
Gel: 8%SDS-PAGE, Lysate: 40 μg, Lane: A172 cell lysate, Primary antibody: P03512(EBF3 Antibody) at dilution 1/800, Secondary antibody: Goat anti rabbit IgG at 1/5000 dilution, Exposure time: 2 minutes |
![]() |
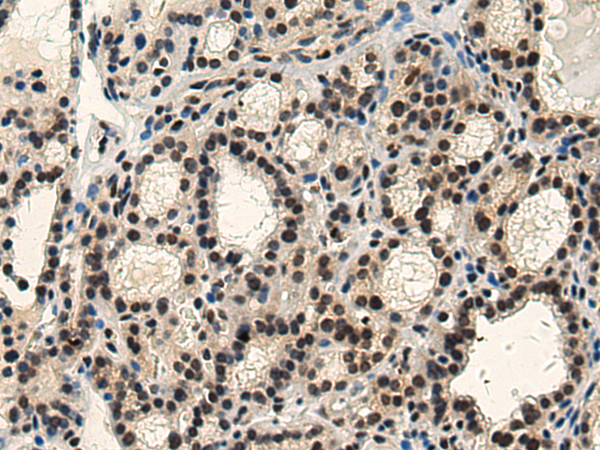
The image is immunohistochemistry of paraffin-embedded Human thyroid cancer tissue using P03512(EBF3 Antibody) at dilution 1/110. (Original magnification: ×200) |
![]() |
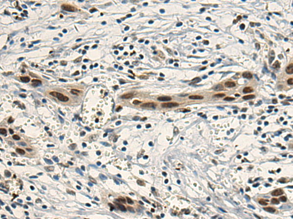
The image is immunohistochemistry of paraffin-embedded Human esophagus cancer tissue using P03512(EBF3 Antibody) at dilution 1/110. (Original magnification: ×200) |
本公司的所有产品仅用于科学研究或者工业应用等非医疗目的,不可用于人类或动物的临床诊断或治疗,非药用,非食用。
暂无评论
本公司的所有产品仅用于科学研究或者工业应用等非医疗目的,不可用于人类或动物的临床诊断或治疗,非药用,非食用。
中文



发表回复