别名:ETA; ET-A; ETAR; ETRA; MFDA; ETA-R; hET-AR应用:WB,IHC
反应种属:Human, Mouse
规格:50μl/100μl
| Description |
|---|
| This gene encodes the receptor for endothelin-1, a peptide that plays a role in potent and long-lasting vasoconstriction. This receptor associates with guanine-nucleotide-binding (G) proteins, and this coupling activates a phosphatidylinositol-calcium second messenger system. Polymorphisms in this gene have been linked to migraine headache resistance. Alternative splicing results in multiple transcript variants. |
| Specification | |
|---|---|
| Aliases | ETA; ET-A; ETAR; ETRA; MFDA; ETA-R; hET-AR |
| Swissprot | P25101 |
| WB Predicted band size | 49 kDa |
| Host/Isotype | Rabbit IgG |
| Storage | Store at 4°C short term. Aliquot and store at -20°C long term. Avoid freeze/thaw cycles. |
| Species Reactivity | Human, Mouse |
| Immunogen | Synthetic peptide of human EDNRA |
| Formulation | pH7.4 PBS, 0.05% NaN3, 40% Glycerol |
| Application | |
|---|---|
| WB | 1/500-1/2000 |
| IHC | 1/50-1/100 |
| ELISA | 1/5000-1/10000 |
![]() |
Gel: 8%SDS-PAGE, Lysate: 40 μg, Lane 1-4: Hela, 293T, Raji, 231 cell lysates, Primary antibody: P03890(EDNRA Antibody) at dilution 1/550, Secondary antibody: Goat anti rabbit IgG at 1/5000 dilution, Exposure time: 3 minutes |
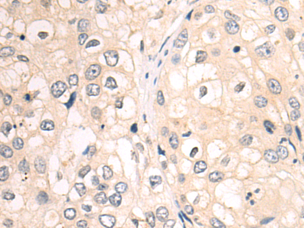
![]() |
The image is immunohistochemistry of paraffin-embedded Human cervical cancer tissue using P03890(EDNRA Antibody) at dilution 1/50. (Original magnification: ×200) |
本公司的所有产品仅用于科学研究或者工业应用等非医疗目的,不可用于人类或动物的临床诊断或治疗,非药用,非食用。
暂无评论
本公司的所有产品仅用于科学研究或者工业应用等非医疗目的,不可用于人类或动物的临床诊断或治疗,非药用,非食用。
中文


发表回复