别名:EF1D; EF-1D; FP1047应用:WB,IHC
反应种属:Human, Mouse, Rat
规格:50μl/100μl
| Description |
|---|
| This gene encodes a subunit of the elongation factor-1 complex, which is responsible for the enzymatic delivery of aminoacyl tRNAs to the ribosome. This subunit, delta, functions as guanine nucleotide exchange factor. It is reported that following HIV-1 infection, this subunit interacts with HIV-1 Tat. This interaction results in repression of translation of host cell proteins and enhanced translation of viral proteins. Several alternatively spliced transcript variants encoding multiple isoforms have been found for this gene. Related pseudogenes have been defined on chromosomes 1, 6, 7, 9, 11, 13, 17, 19. |
| Specification | |
|---|---|
| Aliases | EF1D; EF-1D; FP1047 |
| Swissprot | P29692 |
| WB Predicted band size | 31 kDa |
| Host/Isotype | Rabbit IgG |
| Storage | Store at 4°C short term. Aliquot and store at -20°C long term. Avoid freeze/thaw cycles. |
| Species Reactivity | Human, Mouse, Rat |
| Immunogen | Fusion protein of human EEF1D |
| Formulation | pH7.4 PBS, 0.05% NaN3, 40% Glycerol |
| Application | |
|---|---|
| WB | 1/1000-1/5000 |
| IHC | 1/50-1/300 |
| ELISA | 1/5000-1/10000 |
![]() |
Gel: 8%SDS-PAGE, Lysate: 40 μg, Lane 1-3: HepG2, A172 and A549 cell lysates, Primary antibody: P03206(EEF1D Antibody) at dilution 1/800, Secondary antibody: Goat anti rabbit IgG at 1/5000 dilution, Exposure time: 3 seconds |
![]() |
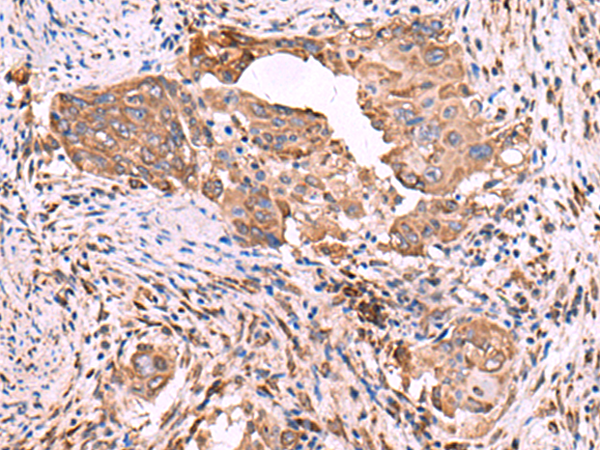
The image is immunohistochemistry of paraffin-embedded Human cervical cancer tissue using P03206(EEF1D Antibody) at dilution 1/55. (Original magnification: ×200) |
![]() |
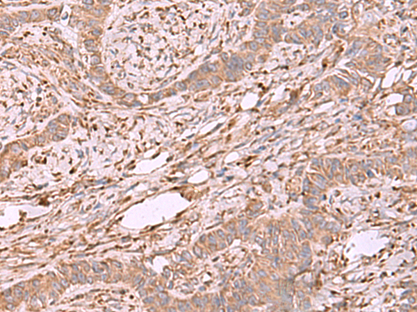
The image is immunohistochemistry of paraffin-embedded Human ovarian cancer tissue using P03206(EEF1D Antibody) at dilution 1/55. (Original magnification: ×200) |
本公司的所有产品仅用于科学研究或者工业应用等非医疗目的,不可用于人类或动物的临床诊断或治疗,非药用,非食用。
暂无评论
本公司的所有产品仅用于科学研究或者工业应用等非医疗目的,不可用于人类或动物的临床诊断或治疗,非药用,非食用。
中文



发表回复