别名:Selenocysteine-specific elongation factor, Elongation factor sec, Eukaryotic elongation factor, selenocysteine-tRNA-specific, EEFSEC, SELB应用:WB,IHC
反应种属:Human, Mouse
规格:50μl/100μl
| Description |
|---|
| EEFSEC is a translation factor necessary for the incorporation of selenocysteine into proteins. It probably replaces EF-Tu for the insertion of selenocysteine directed by the UGA codon. SelB binds GTP and GDP. |
| Specification | |
|---|---|
| Aliases | Selenocysteine-specific elongation factor, Elongation factor sec, Eukaryotic elongation factor, selenocysteine-tRNA-specific, EEFSEC, SELB |
| Entrez GeneID | 60678 |
| Swissprot | P57772 |
| WB Predicted band size | 65.3kDa |
| Host/Isotype | Rabbit IgG |
| Storage | Store at 4°C short term. Aliquot and store at -20°C long term. Avoid freeze/thaw cycles. |
| Species Reactivity | Human, Mouse |
| Immunogen | This EEFSEC antibody is generated from rabbits immunized with a KLH conjugated synthetic peptide between 541-568 amino acids from the C-terminal region of human EEFSEC. |
| Formulation | Purified polyclonal antibody supplied in PBS with 0.05% sodium azide. This antibody is purified through a protein A column, followed by peptide affinity purification. |
| Application | |
|---|---|
| WB | 1/1000 |
| IHC | 1/100-1/500 |
![]() |
Western blot analysis of EEFSEC Antibody (C-term) (Cat. #P30449) in mouse lung tissue lysates (35ug/lane). EEFSEC (arrow) was detected using the purified Pab. |
![]() |
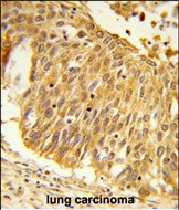
Formalin-fixed and paraffin-embedded human lung carcinoma reacted with EEFSEC Antibody (C-term), which was peroxidase-conjugated to the secondary antibody, followed by DAB staining. This data demonstrates the use of this antibody for immunohistochemistry; clinical relevance has not been evaluated. |
本公司的所有产品仅用于科学研究或者工业应用等非医疗目的,不可用于人类或动物的临床诊断或治疗,非药用,非食用。
暂无评论
本公司的所有产品仅用于科学研究或者工业应用等非医疗目的,不可用于人类或动物的临床诊断或治疗,非药用,非食用。
中文


发表回复