别名:EF-hand domain-containing family member B, EFHB应用:WB,IHC,FCM
反应种属:Human
规格:50μl/100μl
| Description |
|---|
| EFHB contains two EF-hand domains. There are three named isoforms. |
| Specification | |
|---|---|
| Aliases | EF-hand domain-containing family member B, EFHB |
| Entrez GeneID | 151651 |
| Swissprot | Q8N7U6 |
| WB Predicted band size | 93.8kDa |
| Host/Isotype | Rabbit IgG |
| Storage | Store at 4°C short term. Aliquot and store at -20°C long term. Avoid freeze/thaw cycles. |
| Species Reactivity | Human |
| Immunogen | This EFHB antibody is generated from rabbits immunized with a KLH conjugated synthetic peptide between 1-30 amino acids from the N-terminal region of human EFHB. |
| Formulation | Purified polyclonal antibody supplied in PBS with 0.05% sodium azide. This antibody is purified through a protein A column, followed by peptide affinity purification. |
| Application | |
|---|---|
| WB | 1/1000 |
| IHC | 1/100-1/500 |
| FCM | 1/10-1/50 |
![]() |
EFHB Antibody (N-term) (Cat. #P30872) western blot analysis in MCF-7 cell line lysates (35ug/lane).This demonstrates the EFHB antibody detected the EFHB protein (arrow). |
![]() |
EFHB Antibody (N-term) (Cat. #P30872) flow cytometric analysis of MCF-7 cells (right histogram) compared to a negative control cell (left histogram).FITC-conjugated goat-anti-rabbit secondary antibodies were used for the analysis. |
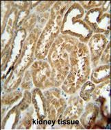
![]() |
EFHB antibody (N-term) (Cat. #P30872) immunohistochemistry analysis in formalin fixed and paraffin embedded human kidney tissue followed by peroxidase conjugation of the secondary antibody and DAB staining. This data demonstrates the use of the EFHB antibody (N-term) for immunohistochemistry. Clinical relevance has not been evaluated. |
本公司的所有产品仅用于科学研究或者工业应用等非医疗目的,不可用于人类或动物的临床诊断或治疗,非药用,非食用。
暂无评论
本公司的所有产品仅用于科学研究或者工业应用等非医疗目的,不可用于人类或动物的临床诊断或治疗,非药用,非食用。
中文



发表回复