别名:M9; ARG134; PLAC24; PTD001; EIF3S12; HSPC029; MSTP001; PLAC-24; PRO1474; EIF3-p28应用:WB,IHC
反应种属:Human, Mouse
规格:50μl/100μl
| Description |
|---|
| The 700-kD eukaryotic translation initiation factor-3 (eIF3) is the largest eIF and contains at least 12 subunits, including EIF2S12. eIF3 plays an essential role in translation by binding directly to the 40S ribosomal subunit and promoting formation of the 40S preinitiation complex. |
| Specification | |
|---|---|
| Aliases | M9; ARG134; PLAC24; PTD001; EIF3S12; HSPC029; MSTP001; PLAC-24; PRO1474; EIF3-p28 |
| Swissprot | Q9UBQ5 |
| WB Predicted band size | 25 kDa |
| Host/Isotype | Rabbit IgG |
| Storage | Store at 4°C short term. Aliquot and store at -20°C long term. Avoid freeze/thaw cycles. |
| Species Reactivity | Human, Mouse |
| Immunogen | Fusion protein of human EIF3K |
| Formulation | pH7.4 PBS, 0.05% NaN3, 40% Glycerol |
| Application | |
|---|---|
| WB | 1/500-1/2000 |
| IHC | 1/50-1/300 |
| ELISA | 1/5000-1/10000 |
![]() |
Gel: 12%SDS-PAGE, Lysate: 40 μg, Lane 1-4: A549, 293T, HT29 and A172 cell lysates, Primary antibody: P03049(EIF3K Antibody) at dilution 1/550, Secondary antibody: Goat anti rabbit IgG at 1/8000 dilution, Exposure time: 10 seconds |
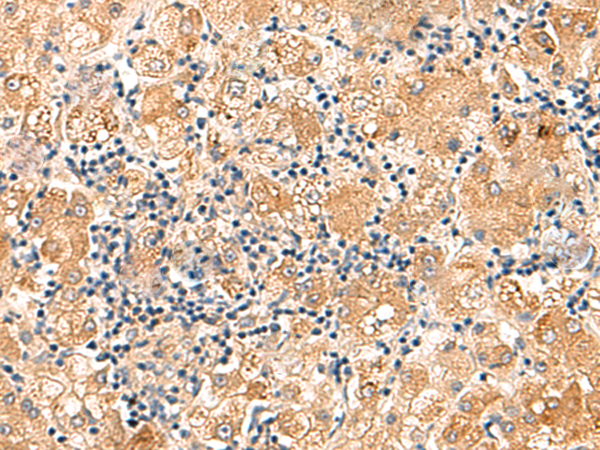
![]() |
The image is immunohistochemistry of paraffin-embedded Human liver cancer tissue using P03049(EIF3K Antibody) at dilution 1/75. (Original magnification: ×200) |
本公司的所有产品仅用于科学研究或者工业应用等非医疗目的,不可用于人类或动物的临床诊断或治疗,非药用,非食用。
暂无评论
本公司的所有产品仅用于科学研究或者工业应用等非医疗目的,不可用于人类或动物的临床诊断或治疗,非药用,非食用。
中文


发表回复