别名:P220; EIF4F; EIF4G; EIF4GI; PARK18; EIF-4G1应用:WB,IHC
反应种属:Human
规格:50μl/100μl
| Description |
|---|
| The protein encoded by this gene is a component of the multi-subunit protein complex EIF4F. This complex facilitates the recruitment of mRNA to the ribosome, which is a rate-limiting step during the initiation phase of protein synthesis. The recognition of the mRNA cap and the ATP-dependent unwinding of 5′-terminal secondary structure is catalyzed by factors in this complex. The subunit encoded by this gene is a large scaffolding protein that contains binding sites for other members of the EIF4F complex. A domain at its N-terminus can also interact with the poly(A)-binding protein, which may mediate the circularization of mRNA during translation. Alternative splicing results in multiple transcript variants, some of which are derived from alternative promoter usage. |
| Specification | |
|---|---|
| Aliases | P220; EIF4F; EIF4G; EIF4GI; PARK18; EIF-4G1 |
| Swissprot | Q04637 |
| WB Predicted band size | 175 kDa |
| Host/Isotype | Rabbit IgG |
| Storage | Store at 4°C short term. Aliquot and store at -20°C long term. Avoid freeze/thaw cycles. |
| Species Reactivity | Human |
| Immunogen | Synthetic peptide of human EIF4G1 |
| Formulation | pH7.4 PBS, 0.05% NaN3, 40% Glycerol |
| Application | |
|---|---|
| WB | 1/500-1/2000 |
| IHC | 1/25-1/100 |
| ELISA | 1/2000-1/5000 |
![]() |
Gel: 6%SDS-PAGE, Lysate: 40 μg, Lane 1-2: Lovo cells, 293T cells, Primary antibody: P11732(EIF4G1 Antibody) at dilution 1/450, Secondary antibody: Goat anti rabbit IgG at 1/8000 dilution, Exposure time: 1 minute |
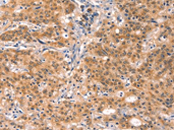
![]() |
The image is immunohistochemistry of paraffin-embedded Human thyroid cancer tissue using P11732(EIF4G1 Antibody) at dilution 1/30. (Original magnification: ×200) |
![]() |
The image is immunohistochemistry of paraffin-embedded Human gastric cancer tissue using P11732(EIF4G1 Antibody) at dilution 1/30. (Original magnification: ×200) |
本公司的所有产品仅用于科学研究或者工业应用等非医疗目的,不可用于人类或动物的临床诊断或治疗,非药用,非食用。
暂无评论
本公司的所有产品仅用于科学研究或者工业应用等非医疗目的,不可用于人类或动物的临床诊断或治疗,非药用,非食用。
中文



发表回复