别名:HUC; HUCL; PLE21应用:WB,IHC
反应种属:Human, Mouse
规格:50μl/100μl
| Description |
|---|
| A member of the ELAVL protein family, ELAV-like 3 is a neural-specific RNA-binding protein which contains three RNP-type RNA recognition motifs. The observation that ELAVL3 is one of several Hu antigens (neuronal-specific RNA-binding proteins) recognized by the anti-Hu serum antibody present in sera from patients with paraneoplastic encephalomyelitis and sensory neuronopathy (PEM/PSN) suggests it has a role in neurogenesis. Two alternatively spliced transcript variants encoding distinct isoforms have been found for this gene. |
| Specification | |
|---|---|
| Aliases | HUC; HUCL; PLE21 |
| Swissprot | Q14576 |
| WB Predicted band size | 40 kDa |
| Host/Isotype | Rabbit IgG |
| Storage | Store at 4°C short term. Aliquot and store at -20°C long term. Avoid freeze/thaw cycles. |
| Species Reactivity | Human, Mouse |
| Immunogen | Synthetic peptide of human ELAVL3 |
| Formulation | pH7.4 PBS, 0.05% NaN3, 40% Glycerol |
| Application | |
|---|---|
| WB | 1/200-1/1000 |
| IHC | 1/25-1/100 |
| ELISA | 1/1000-1/2000 |
![]() |
Gel: 10%SDS-PAGE, Lysate: 40 μg, Lane: Human fetal brain tissue, Primary antibody: P11884(ELAVL3 Antibody) at dilution 1/350, Secondary antibody: Goat anti rabbit IgG at 1/8000 dilution, Exposure time: 3 minutes |
![]() |
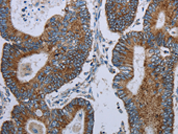
The image is immunohistochemistry of paraffin-embedded Human colon cancer tissue using P11884(ELAVL3 Antibody) at dilution 1/20. (Original magnification: ×200) |
![]() |
The image is immunohistochemistry of paraffin-embedded Human liver cancer tissue using P11884(ELAVL3 Antibody) at dilution 1/20. (Original magnification: ×200) |
本公司的所有产品仅用于科学研究或者工业应用等非医疗目的,不可用于人类或动物的临床诊断或治疗,非药用,非食用。
暂无评论
本公司的所有产品仅用于科学研究或者工业应用等非医疗目的,不可用于人类或动物的临床诊断或治疗,非药用,非食用。
中文



发表回复