别名:ERT; ESX; EPR-1; ESE-1应用:IHC
反应种属:Human
规格:50μl/100μl
| Description |
|---|
| Transcriptional activator that binds and transactivates ETS sequences containing the consensus nucleotide core sequence GGA[AT]. Acts synergistically with POU2F3 to transactivate the SPRR2A promoter and with RUNX1 to transactivate the ANGPT1 promoter. Also transactivates collagenase, CCL20, CLND7, FLG, KRT8, NOS2, PTGS2, SPRR2B, TGFBR2 and TGM3 promoters. Represses KRT4 promoter activity. Involved in mediating vascular inflammation. May play an important role in epithelial cell differentiation and tumorigenesis. May be a critical downstream effector of the ERBB2 signaling pathway. May be associated with mammary gland development and involution. Plays an important role in the regulation of transcription with TATA-less promoters in preimplantation embryos, which is essential in preimplantation development (By similarity). |
| Specification | |
|---|---|
| Aliases | ERT; ESX; EPR-1; ESE-1 |
| Swissprot | P78545 |
| Host/Isotype | Rabbit IgG |
| Storage | Store at 4°C short term. Aliquot and store at -20°C long term. Avoid freeze/thaw cycles. |
| Species Reactivity | Human |
| Immunogen | Fusion protein of human ELF3 |
| Formulation | pH7.4 PBS, 0.05% NaN3, 40% Glycerol |
| Application | |
|---|---|
| IHC | 1/50-1/300 |
| ELISA | 1/5000-1/10000 |
![]() |
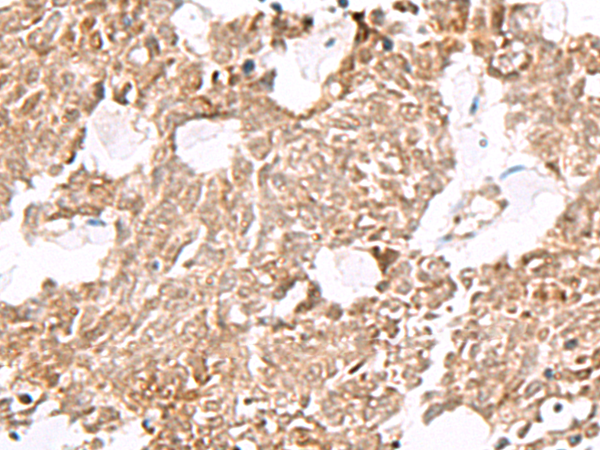
The image is immunohistochemistry of paraffin-embedded Human esophagus cancer tissue using P03121(ELF3 Antibody) at dilution 1/60. (Original magnification: ×200) |
![]() |
The image is immunohistochemistry of paraffin-embedded Human lung cancer tissue using P03121(ELF3 Antibody) at dilution 1/60. (Original magnification: ×200) |
本公司的所有产品仅用于科学研究或者工业应用等非医疗目的,不可用于人类或动物的临床诊断或治疗,非药用,非食用。
暂无评论
本公司的所有产品仅用于科学研究或者工业应用等非医疗目的,不可用于人类或动物的临床诊断或治疗,非药用,非食用。
中文


发表回复