别名:应用:IHC
反应种属:Human, Mouse
规格:50μl/100μl
| Description |
|---|
| ELL2 (RNA polymerase II elongation factor ELL2) is a 640 amino acid nuclear protein that belongs to the ELL/occludin family. This family is defined by a highly conserved domain of approximately 100 amino residues found within all eukaryotic occludin proteins and the RNA polymerase II elongation factor ELL. These elongation factors activate elongation by suppressing transient pausing by polymerase at many sites along the DNA and govern its interaction with RNA polymerase II and the ternary elongation complex. ELL2 may also contain a novel type of RNA polymerase II interaction domain that is capable of negatively regulating polymerase activity in promoter-specific transcription initiation in vitro. |
| Specification | |
|---|---|
| Swissprot | O00472 |
| Host/Isotype | Rabbit IgG |
| Storage | Store at 4°C short term. Aliquot and store at -20°C long term. Avoid freeze/thaw cycles. |
| Species Reactivity | Human, Mouse |
| Immunogen | Synthetic peptide of human ELL2 |
| Formulation | pH7.4 PBS, 0.05% NaN3, 40% Glycerol |
| Application | |
|---|---|
| IHC | 1/25-1/100 |
| ELISA | 1/5000-1/10000 |
![]() |
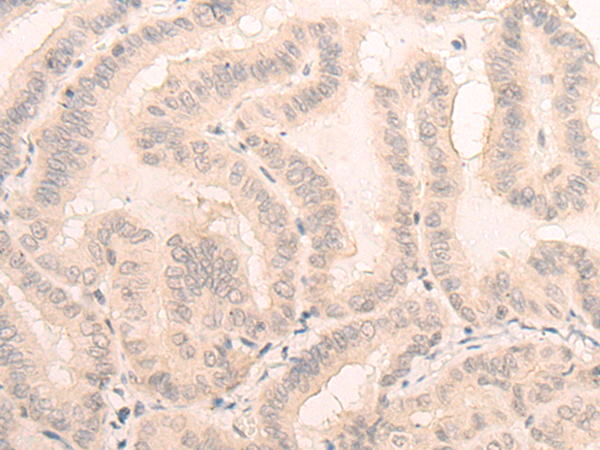
The image is immunohistochemistry of paraffin-embedded Human ovarian cancer tissue using P06425(ELL2 Antibody) at dilution 1/20. (Original magnification: ×200) |
![]() |
The image is immunohistochemistry of paraffin-embedded Human thyroid cancer tissue using P06425(ELL2 Antibody) at dilution 1/20. (Original magnification: ×200) |
本公司的所有产品仅用于科学研究或者工业应用等非医疗目的,不可用于人类或动物的临床诊断或治疗,非药用,非食用。
暂无评论
本公司的所有产品仅用于科学研究或者工业应用等非医疗目的,不可用于人类或动物的临床诊断或治疗,非药用,非食用。
中文


发表回复