别名:AN; AN2; hELP4; PAXNEB; PAX6NEB; C11orf19; dJ68P15A.1应用:IHC
反应种属:Human
规格:50μl/100μl
| Description |
|---|
| This gene encodes a component of the six subunit elongator complex, a histone acetyltransferase complex that associates directly with RNA polymerase II during transcriptional elongation. The human gene can partially complement sensitivity phenotypes of yeast ELP4 deletion mutants. This gene has also been associated with Rolandic epilepsy. Alternative splicing results in multiple transcript variants. |
| Specification | |
|---|---|
| Aliases | AN; AN2; hELP4; PAXNEB; PAX6NEB; C11orf19; dJ68P15A.1 |
| Swissprot | Q96EB1 |
| Host/Isotype | Rabbit IgG |
| Storage | Store at 4°C short term. Aliquot and store at -20°C long term. Avoid freeze/thaw cycles. |
| Species Reactivity | Human |
| Immunogen | Synthetic peptide of human ELP4 |
| Formulation | pH7.4 PBS, 0.05% NaN3, 40% Glycerol |
| Application | |
|---|---|
| IHC | 1/30-1/150 |
| ELISA | 1/5000-1/10000 |
![]() |
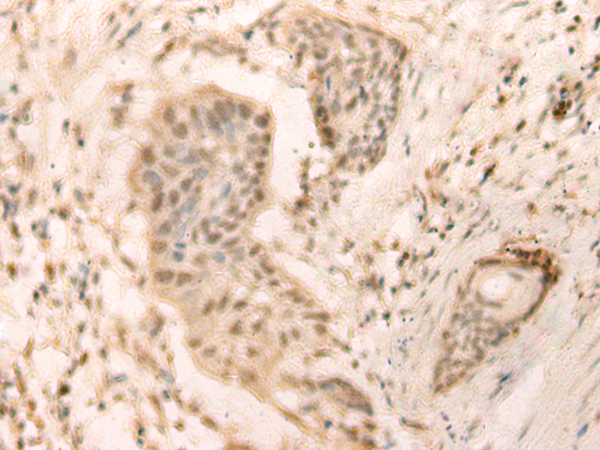
The image is immunohistochemistry of paraffin-embedded Human thyroid cancer tissue using P06426(ELP4 Antibody) at dilution 1/25. (Original magnification: ×200) |
![]() |
The image is immunohistochemistry of paraffin-embedded Human esophagus cancer tissue using P06426(ELP4 Antibody) at dilution 1/25. (Original magnification: ×200) |
本公司的所有产品仅用于科学研究或者工业应用等非医疗目的,不可用于人类或动物的临床诊断或治疗,非药用,非食用。
暂无评论
本公司的所有产品仅用于科学研究或者工业应用等非医疗目的,不可用于人类或动物的临床诊断或治疗,非药用,非食用。
中文


发表回复