别名:HT022; C11orf3; C15orf24; ORF1-FL1应用:WB,IHC
反应种属:Human, Mouse
规格:50μl/100μl
| Description |
|---|
| Has been termed C11orf3, but is not the official C11orf3 as defined by HGNC and furthermore maps to chromosome 15. |
| Specification | |
|---|---|
| Aliases | HT022; C11orf3; C15orf24; ORF1-FL1 |
| Swissprot | Q9NPA0 |
| WB Predicted band size | 26 kDa |
| Host/Isotype | Rabbit IgG |
| Storage | Store at 4°C short term. Aliquot and store at -20°C long term. Avoid freeze/thaw cycles. |
| Species Reactivity | Human, Mouse |
| Immunogen | Synthetic peptide of human EMC7 |
| Formulation | pH7.4 PBS, 0.05% NaN3, 40% Glycerol |
| Application | |
|---|---|
| WB | 1/500-1/2000 |
| IHC | 1/50-1/200 |
| ELISA | 1/5000-1/10000 |
![]() |
Gel: 12%SDS-PAGE, Lysate: 40 μg, Lane: Mouse skeletal muscle tissue lysate, Primary antibody: P12981(EMC7 Antibody) at dilution 1/400, Secondary antibody: Goat anti rabbit IgG at 1/5000 dilution, Exposure time: 1 minute |
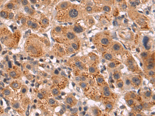
![]() |
The image is immunohistochemistry of paraffin-embedded Human liver cancer tissue using P12981(EMC7 Antibody) at dilution 1/50. (Original magnification: ×200) |
本公司的所有产品仅用于科学研究或者工业应用等非医疗目的,不可用于人类或动物的临床诊断或治疗,非药用,非食用。
暂无评论
本公司的所有产品仅用于科学研究或者工业应用等非医疗目的,不可用于人类或动物的临床诊断或治疗,非药用,非食用。
中文


发表回复