别名:XMP应用:IHC
反应种属:Human
规格:50μl/100μl
| Description |
|---|
| EMP-2 (epithelial membrane protein 2), also known as XMP, is a 167 amino acid multi-pass membrane protein that contains four-transmembrane domains and belongs to the GAS3/PMP22 (growth arrest-specific-3/peripheral myelin protein-22) family. Localized to lipid raft domains in the plasma membrane, EMP-2 regulates the expression of several target proteins and is necessary for blastocyst implantation in the uterine endometrium. Specifically, EMP-2 mediates blastocyst implantation by controlling the cell membrane expression of MHC and glycosylphosphatidylinositol-anchored proteins, as well as Integrins and caveolin-1. In adult tissues, EMP-2 is expressed in heart, lung, ovary and intestine, while fetal expression is highest in kidney, brain and liver. Overexpression of EMP-2 is associated with endometrial adenocarcinoma, suggesting a possible role for EMP-2 in tumorigenesis. |
| Specification | |
|---|---|
| Aliases | XMP |
| Swissprot | P54851 |
| Host/Isotype | Rabbit IgG |
| Storage | Store at 4°C short term. Aliquot and store at -20°C long term. Avoid freeze/thaw cycles. |
| Species Reactivity | Human |
| Immunogen | Synthetic peptide of human EMP2 |
| Formulation | pH7.4 PBS, 0.05% NaN3, 40% Glycerol |
| Application | |
|---|---|
| IHC | 1/25-1/100 |
| ELISA | 1/1000-1/2000 |
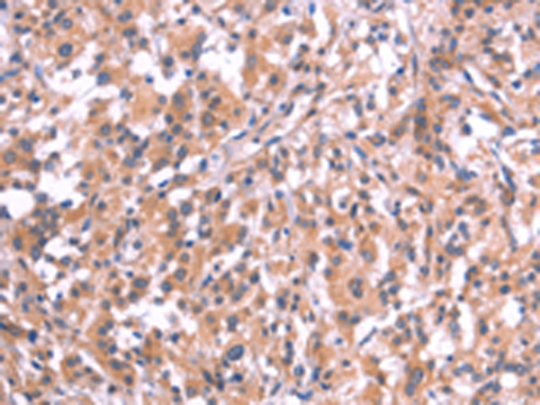
![]() |
The image is immunohistochemistry of paraffin-embedded Human liver cancer tissue using P04846(EMP2 Antibody) at dilution 1/20. (Original magnification: ×200) |
![]() |
The image is immunohistochemistry of paraffin-embedded Human thyroid cancer tissue using P04846(EMP2 Antibody) at dilution 1/20. (Original magnification: ×200) |
本公司的所有产品仅用于科学研究或者工业应用等非医疗目的,不可用于人类或动物的临床诊断或治疗,非药用,非食用。
暂无评论
本公司的所有产品仅用于科学研究或者工业应用等非医疗目的,不可用于人类或动物的临床诊断或治疗,非药用,非食用。
中文


发表回复