别名:RTS; TYMSAS应用:IHC
反应种属:Human
规格:50μl/100μl
| Description |
|---|
| This gene was originally identified as a naturally occurring antisense transcript to the human thymidylate synthase gene. Alternate splice variants have been described, one of which (named rTSalpha) represents an alternate 3’UTR that is complementary to the 3’UTR and terminal intron of the thymidylate synthase (TS) RNA and down-regulates TS expression. Other transcript variants (rTSbeta and rTSgamma) do not overlap the TS locus. The function of this gene appears to be primarily to regulate expression of the TS locus both via the antisense transcript as well as through the encoded proteins. |
| Specification | |
|---|---|
| Aliases | RTS; TYMSAS |
| Swissprot | Q7L5Y1 |
| Host/Isotype | Rabbit IgG |
| Storage | Store at 4°C short term. Aliquot and store at -20°C long term. Avoid freeze/thaw cycles. |
| Species Reactivity | Human |
| Immunogen | Synthetic peptide of human ENOSF1 |
| Formulation | pH7.4 PBS, 0.05% NaN3, 40% Glycerol |
| Application | |
|---|---|
| IHC | 1/30-1/150 |
| ELISA | 1/5000-1/10000 |
![]() |
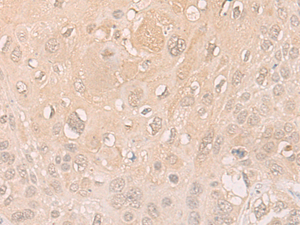
The image is immunohistochemistry of paraffin-embedded Human liver cancer tissue using P13324(ENOSF1 Antibody) at dilution 1/20. (Original magnification: ×200) |
![]() |
The image is immunohistochemistry of paraffin-embedded Human esophagus cancer tissue using P13324(ENOSF1 Antibody) at dilution 1/20. (Original magnification: ×200) |
本公司的所有产品仅用于科学研究或者工业应用等非医疗目的,不可用于人类或动物的临床诊断或治疗,非药用,非食用。
暂无评论
本公司的所有产品仅用于科学研究或者工业应用等非医疗目的,不可用于人类或动物的临床诊断或治疗,非药用,非食用。
中文


发表回复