别名:NPP4应用:WB,IHC
反应种属:Human
规格:50μl/100μl
| Description |
|---|
| NPP4, also known as ENPP4 (ectonucleotide pyrophosphatase/phosphodiesterase family member 4), is a 453 amino acid single-pass type I membrane protein that belongs to the nucleotide pyrophosphatase/phosphodiesterase family. The gene that encodes NPP4 consists of approximately 16,736 bases and maps to human chromosome 6p21.1. Making up nearly 6% of the human genome, chromosome 6 contains around 1,200 genes within 170 million base pairs of sequence. Deletion of a portion of the q arm of chromosome 6 is associated with early onset intestinal cancer suggesting the presence of a cancer susceptibility locus. Porphyria cutanea tarda is associated with chromosome 6 through the HFE gene, and Stickler syndrome, 21-hydroxylase deficiency and maple syrup urine disease are also associated with genes on chromosome 6. Notably, the PARK2 gene, which is associated with Parkinson’s disease, and the genes encoding the major histocompatiblity complex proteins are also located on chromosome 6. A bipolar disorder susceptibility locus has been identified on the q arm of chromosome 6. |
| Specification | |
|---|---|
| Aliases | NPP4 |
| Swissprot | Q9Y6X5 |
| WB Predicted band size | 52 kDa |
| Host/Isotype | Rabbit IgG |
| Storage | Store at 4°C short term. Aliquot and store at -20°C long term. Avoid freeze/thaw cycles. |
| Species Reactivity | Human |
| Immunogen | Synthetic peptide of human ENPP4 |
| Formulation | pH7.4 PBS, 0.05% NaN3, 40% Glycerol |
| Application | |
|---|---|
| WB | 1/500-1/2000 |
| IHC | 1/25-1/100 |
| ELISA | 1/2000-1/5000 |
![]() |
Gel: 6%SDS-PAGE, Lysate: 40 μg, Lane 1-2: Human endometrial cancer tissue, Human placenta tissue, Primary antibody: P11737(ENPP4 Antibody) at dilution 1/200, Secondary antibody: Goat anti rabbit IgG at 1/8000 dilution, Exposure time: 40 seconds |
![]() |
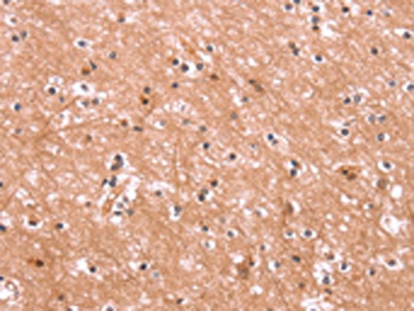
The image is immunohistochemistry of paraffin-embedded Human brain tissue using P11737(ENPP4 Antibody) at dilution 1/15. (Original magnification: ×200) |
![]() |
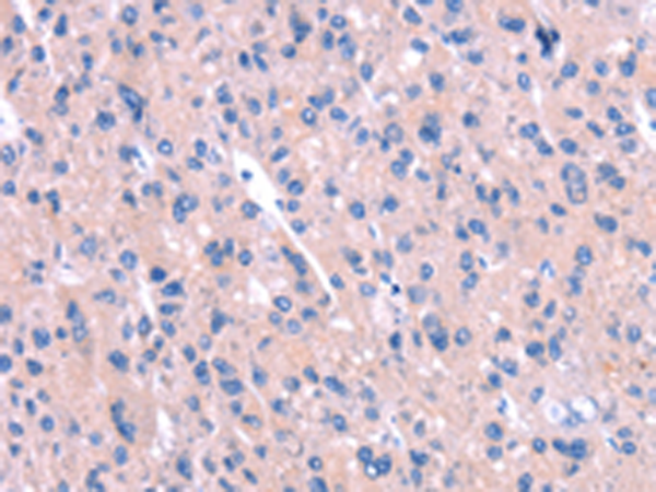
The image is immunohistochemistry of paraffin-embedded Human liver cancer tissue using P11737(ENPP4 Antibody) at dilution 1/15. (Original magnification: ×200) |
本公司的所有产品仅用于科学研究或者工业应用等非医疗目的,不可用于人类或动物的临床诊断或治疗,非药用,非食用。
暂无评论
本公司的所有产品仅用于科学研究或者工业应用等非医疗目的,不可用于人类或动物的临床诊断或治疗,非药用,非食用。
中文



发表回复