别名:EPAS1; BHLHE73; HIF2A; MOP2; PASD2; Endothelial PAS domain-containing protein 1; EPAS-1; Basic-helix-loop-helix-PAS protein MOP2; Class E basic helix-loop-helix protein 73; bHLHe73;应用:WB,IHC,ICC
反应种属:Human,Mouse,Rat
规格:50μl/100μl
| Specification | |
|---|---|
| Aliases | EPAS1; BHLHE73; HIF2A; MOP2; PASD2; Endothelial PAS domain-containing protein 1; EPAS-1; Basic-helix-loop-helix-PAS protein MOP2; Class E basic helix-loop-helix protein 73; bHLHe73; |
| Entrez GeneID | 2034; |
| Swissprot | Q99814 |
| WB Predicted band size | 96kDa |
| Storage | Store at 4°C short term. Aliquot and store at -20°C long term. Avoid freeze/thaw cycles. |
| Species Reactivity | Human,Mouse,Rat |
| Immunogen | Synthesized peptide derived from human EPAS-1 around the non-acetylation site of K385. |
| Formulation | Liquid in PBS containing 50% glycerol, 0.5% BSA and 0.02% sodium azide. |
| Application | |
|---|---|
| WB | 1/500-1/2000 |
| IHC | 1/100-1/300 |
| ICC | 1/50-200 |
| ELISA | 1/20000 |
![]() |
Western Blot analysis of Jurkat L929 cells using EPAS-1 Polyclonal Antibody |
![]() |
Immunofluorescence analysis of human-stomach tissue. |
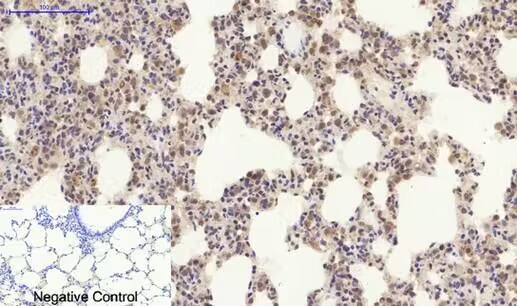
![]() |
Immunohistochemical analysis of paraffin-embedded Rat-lung tissue. |
本公司的所有产品仅用于科学研究或者工业应用等非医疗目的,不可用于人类或动物的临床诊断或治疗,非药用,非食用。
暂无评论
本公司的所有产品仅用于科学研究或者工业应用等非医疗目的,不可用于人类或动物的临床诊断或治疗,非药用,非食用。
中文



发表回复