别名:EP; DBAL; ECYT5; MVCD2应用:WB,IHC
反应种属:Human, Mouse, Rat
规格:50μl/100μl
| Description |
|---|
| This gene encodes a secreted, glycosylated cytokine composed of four alpha helical bundles. The encoded protein is mainly synthesized in the kidney, secreted into the blood plasma, and binds to the erythropoietin receptor to promote red blood cell production, or erythropoiesis, in the bone marrow. Expression of this gene is upregulated under hypoxic conditions, in turn leading to increased erythropoiesis and enhanced oxygen-carrying capacity of the blood. Expression of this gene has also been observed in brain and in the eye, and elevated expression levels have been observed in diabetic retinopathy and ocular hypertension. Recombinant forms of the encoded protein exhibit neuroprotective activity against a variety of potential brain injuries, as well as antiapoptotic functions in several tissue types, and have been used in the treatment of anemia and to enhance the efficacy of cancer therapies. |
| Specification | |
|---|---|
| Aliases | EP; DBAL; ECYT5; MVCD2 |
| Swissprot | P01588 |
| WB Predicted band size | 21 kDa |
| Host/Isotype | Rabbit IgG |
| Storage | Store at 4°C short term. Aliquot and store at -20°C long term. Avoid freeze/thaw cycles. |
| Species Reactivity | Human, Mouse, Rat |
| Immunogen | Synthetic peptide of human EPO |
| Formulation | pH7.4 PBS, 0.05% NaN3, 40% Glycerol |
| Application | |
|---|---|
| WB | 1/1000-1/5000 |
| IHC | 1/50-1/100 |
| ELISA | 1/5000-1/10000 |
![]() |
Gel: 12%SDS-PAGE, Lysate: 40 μg, Lane: 293T cell lysate, Primary antibody: P11740(EPO Antibody) at dilution 1/1350, Secondary antibody: Goat anti rabbit IgG at 1/5000 dilution, Exposure time: 1 minute |
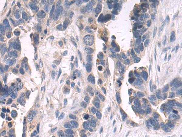
![]() |
The image is immunohistochemistry of paraffin-embedded Human colorectal cancer tissue using P11740(EPO Antibody) at dilution 1/50. (Original magnification: ×200) |
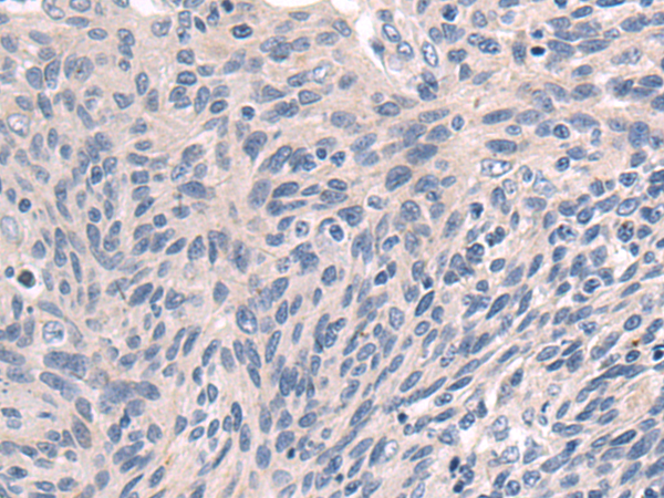
![]() |
The image is immunohistochemistry of paraffin-embedded Human cervical cancer tissue using P11740(EPO Antibody) at dilution 1/50. (Original magnification: ×200) |
本公司的所有产品仅用于科学研究或者工业应用等非医疗目的,不可用于人类或动物的临床诊断或治疗,非药用,非食用。
暂无评论
本公司的所有产品仅用于科学研究或者工业应用等非医疗目的,不可用于人类或动物的临床诊断或治疗,非药用,非食用。
中文



发表回复