别名:BRESI1应用:WB,IHC
反应种属:Human
规格:50μl/100μl
| Description |
|---|
| The protein encoded by this gene has been shown to promote tumor invasion and metastasis in some invasive cancer cells when overexpressed. Expression of this gene has been shown to be upregulated by direct binding of the Kruppel like factor 8 protein to promoter sequences. The translated protein interacts with the amino terminal region of the valosin containing protein gene product, resulting in the nuclear translocation of the nuclear factor kappa B subunit 1 gene product, and activation of target genes. Overexpression of this gene has been observed in some breast cancers and in some individuals with systemic lupus erythematosus (SLE). |
| Specification | |
|---|---|
| Aliases | BRESI1 |
| Swissprot | Q96J88 |
| WB Predicted band size | 37 kDa |
| Host/Isotype | Rabbit IgG |
| Storage | Store at 4°C short term. Aliquot and store at -20°C long term. Avoid freeze/thaw cycles. |
| Species Reactivity | Human |
| Immunogen | Synthetic peptide of human EPSTI1 |
| Formulation | pH7.4 PBS, 0.05% NaN3, 40% Glycerol |
| Application | |
|---|---|
| WB | 1/200-1/1000 |
| IHC | 1/30-1/150 |
| ELISA | 1/5000-1/10000 |
![]() |
Gel: 8%SDS-PAGE, Lysate: 40 μg, Lane: Human spleen tissue lysate, Primary antibody: P13328(EPSTI1 Antibody) at dilution 1/300, Secondary antibody: Goat anti rabbit IgG at 1/8000 dilution, Exposure time: 3 minutes |
![]() |
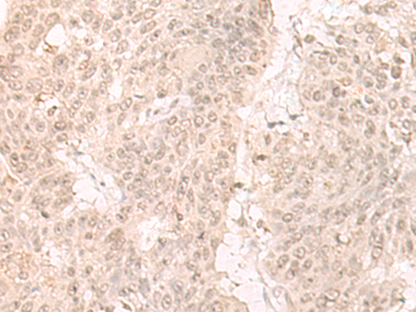
The image is immunohistochemistry of paraffin-embedded Human esophagus cancer tissue using P13328(EPSTI1 Antibody) at dilution 1/20. (Original magnification: ×200) |
![]() |
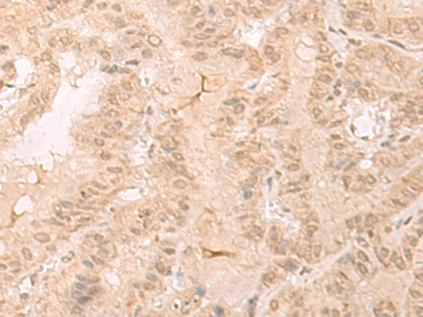
The image is immunohistochemistry of paraffin-embedded Human thyroid cancer tissue using P13328(EPSTI1 Antibody) at dilution 1/20. (Original magnification: ×200) |
本公司的所有产品仅用于科学研究或者工业应用等非医疗目的,不可用于人类或动物的临床诊断或治疗,非药用,非食用。
暂无评论
本公司的所有产品仅用于科学研究或者工业应用等非医疗目的,不可用于人类或动物的临床诊断或治疗,非药用,非食用。
中文



发表回复