别名:EPO; EPP; EPXD; EPX-PEN应用:IHC
反应种属:Human
规格:50μl/100μl
| Description |
|---|
| This gene is a member of the peroxidase gene family and is expressed in eosinophils. The encoded precursor protein is processed into covalently attached heavy and light chains to form the mature enzyme, which functions as an oxidant. The enzyme is released at sites of parasitic infection or allergen stimulation to mediate lysis of protozoa or parasitic worms. The gene is found in a cluster of three peroxidase genes at chromosome 17q23. Mutations in this gene result in eosinophil peroxidase deficiency. |
| Specification | |
|---|---|
| Aliases | EPO; EPP; EPXD; EPX-PEN |
| Swissprot | P11678 |
| Host/Isotype | Rabbit IgG |
| Storage | Store at 4°C short term. Aliquot and store at -20°C long term. Avoid freeze/thaw cycles. |
| Species Reactivity | Human |
| Immunogen | Synthetic peptide of human EPX |
| Formulation | pH7.4 PBS, 0.05% NaN3, 40% Glycerol |
| Application | |
|---|---|
| IHC | 1/20-1/100 |
| ELISA | 1/500-1/1000 |
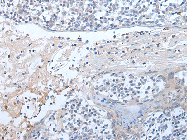
![]() |
The image is immunohistochemistry of paraffin-embedded Human colorectal cancer tissue using P12804(EPX Antibody) at dilution 1/20. (Original magnification: ×200) |
![]() |
The image is immunohistochemistry of paraffin-embedded Human tonsil tissue using P12804(EPX Antibody) at dilution 1/20. (Original magnification: ×200) |
本公司的所有产品仅用于科学研究或者工业应用等非医疗目的,不可用于人类或动物的临床诊断或治疗,非药用,非食用。
暂无评论
本公司的所有产品仅用于科学研究或者工业应用等非医疗目的,不可用于人类或动物的临床诊断或治疗,非药用,非食用。
中文


发表回复