别名:DNA excision repair protein ERCC-8, Cockayne syndrome WD repeat protein CSA, ERCC8, CKN1, CSA应用:WB,IHC
反应种属:Human, Mouse
规格:50μl/100μl
| Description |
|---|
| This gene encodes a WD repeat protein, which interacts with Cockayne syndrome type B (CSB) protein and with p44 protein, a subunit of the RNA polymerase II transcription factor IIH. Mutations in this gene have been identified in patients with hereditary disease Cockayne syndrome (CS). CS cells are abnormally sensitive to ultraviolet radiation and are defective in the repair of transcriptionally active genes. |
| Specification | |
|---|---|
| Aliases | DNA excision repair protein ERCC-8, Cockayne syndrome WD repeat protein CSA, ERCC8, CKN1, CSA |
| Entrez GeneID | 1161 |
| Swissprot | Q13216 |
| WB Predicted band size | 44.1kDa |
| Host/Isotype | Rabbit IgG |
| Storage | Store at 4°C short term. Aliquot and store at -20°C long term. Avoid freeze/thaw cycles. |
| Species Reactivity | Human, Mouse |
| Immunogen | This ERCC8 antibody is generated from rabbits immunized with a KLH conjugated synthetic peptide between 210-238 amino acids from the Central region of human ERCC8. |
| Formulation | Purified polyclonal antibody supplied in PBS with 0.05% sodium azide. This antibody is purified through a protein A column, followed by peptide affinity purification. |
| Application | |
|---|---|
| WB | 1/1000 |
| IHC | 1/100-1/500 |
![]() |
ERCC8 Antibody (Center) (Cat. #P30880) western blot analysis in mouse spleen tissue lysates (35ug/lane).This demonstrates the ERCC8 antibody detected the ERCC8 protein (arrow). |
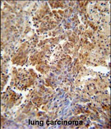
![]() |
ERCC8 antibody (Center) (Cat. #P30880) immunohistochemistry analysis in formalin fixed and paraffin embedded human lung carcinoma followed by peroxidase conjugation of the secondary antibody and DAB staining. This data demonstrates the use of the ERCC8 antibody (Center) for immunohistochemistry. Clinical relevance has not been evaluated. |
本公司的所有产品仅用于科学研究或者工业应用等非医疗目的,不可用于人类或动物的临床诊断或治疗,非药用,非食用。
暂无评论
本公司的所有产品仅用于科学研究或者工业应用等非医疗目的,不可用于人类或动物的临床诊断或治疗,非药用,非食用。
中文


发表回复