别名:IRE1b; IRE1-BETA应用:IHC
反应种属:Human
规格:50μl/100μl
| Description |
|---|
| The accumulation of unfolded proteins within the endoplasmic recticulum (ER) of yeast and mammalian cells activates the unfolded protein response (UPR) pathway and leads to the transcription of ER-specific genes involved in protein folding. The activation of the UPR requires the ER transmembrane kinase IRE1p (for inositol-requiring and ER-to-nucleus signaling protein). IRE1α and IRE1β are two mammalian homologs of the yeast IRE1p. These related proteins localize to the ER lumen and contain both a short transmembrane domain that spans the ER membrane and a cytosolic Ser/Thr kinase domain. IRE1 activation involves the oligomerization and trans-phosphorylation of the cytosolic portion of the proteins, which then potentiates its intrinsic kinase activity and, in turn, stimulates transcription of UPR-targeted genes. |
| Specification | |
|---|---|
| Aliases | IRE1b; IRE1-BETA |
| Swissprot | Q76MJ5 |
| Host/Isotype | Rabbit IgG |
| Storage | Store at 4°C short term. Aliquot and store at -20°C long term. Avoid freeze/thaw cycles. |
| Species Reactivity | Human |
| Immunogen | Synthetic peptide of human ERN2 |
| Formulation | pH7.4 PBS, 0.05% NaN3, 40% Glycerol |
| Application | |
|---|---|
| IHC | 1/50-1/200 |
| ELISA | 1/2000-1/5000 |
![]() |
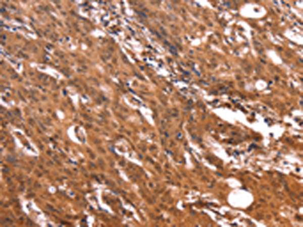
The image is immunohistochemistry of paraffin-embedded Human liver cancer tissue using P11744(ERN2 Antibody) at dilution 1/40. (Original magnification: ×200) |
![]() |
The image is immunohistochemistry of paraffin-embedded Human gastric cancer tissue using P11744(ERN2 Antibody) at dilution 1/40. (Original magnification: ×200) |
本公司的所有产品仅用于科学研究或者工业应用等非医疗目的,不可用于人类或动物的临床诊断或治疗,非药用,非食用。
暂无评论
本公司的所有产品仅用于科学研究或者工业应用等非医疗目的,不可用于人类或动物的临床诊断或治疗,非药用,非食用。
中文


发表回复