别名:PDIA10; TXNDC4应用:WB,IHC
反应种属:Human, Mouse
规格:50μl/100μl
| Description |
|---|
| ERP44 is a 406 amino acid protein that contains one thioredoxin domain, a motif that participates in various redox reactions throughout the cell. Localized to the lumen of the endoplasmic reticulum (ER), TXNDC4 functions to inhibit the activity of IP3R-I (inositol 1,4,5-triphosphate receptor,type 1) within calcium channels. In addition, TXNDC4 is thought to regulate oxidative protein folding within the ER and may be involved in retaining proteins. |
| Specification | |
|---|---|
| Aliases | PDIA10; TXNDC4 |
| Swissprot | Q9BS26 |
| WB Predicted band size | 47 kDa |
| Host/Isotype | Rabbit IgG |
| Storage | Store at 4°C short term. Aliquot and store at -20°C long term. Avoid freeze/thaw cycles. |
| Species Reactivity | Human, Mouse |
| Immunogen | Synthetic peptide of human ERP44 |
| Formulation | pH7.4 PBS, 0.05% NaN3, 40% Glycerol |
| Application | |
|---|---|
| WB | 1/500-1/2000 |
| IHC | 1/25-1/100 |
| ELISA | 1/2000-1/5000 |
![]() |
Gel: 8%SDS-PAGE, Lysate: 40 μg, Lane 1-7: A431 cells, K562 cells, 231 cells, HepG2 cells, Hela cells, A549 cells, Raji cells, Primary antibody: P12349(ERP44 Antibody) at dilution 1/200, Secondary antibody: Goat anti rabbit IgG at 1/8000 dilution, Exposure time: 10 seconds |
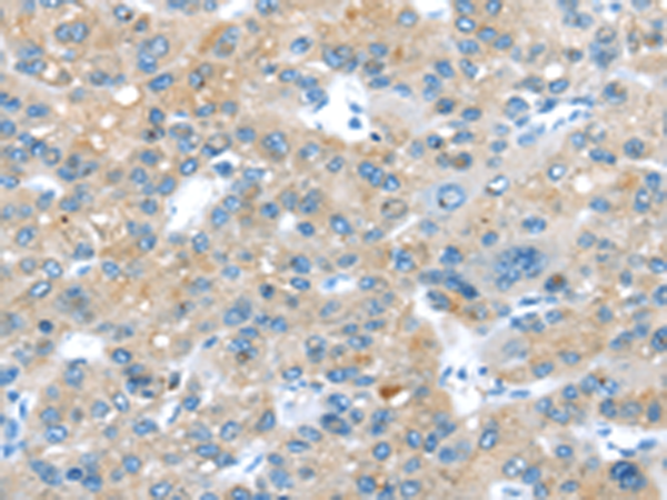
![]() |
The image is immunohistochemistry of paraffin-embedded Human liver cancer tissue using P12349(ERP44 Antibody) at dilution 1/20. (Original magnification: ×200) |
![]() |
The image is immunohistochemistry of paraffin-embedded Human colorectal cancer tissue using P12349(ERP44 Antibody) at dilution 1/20. (Original magnification: ×200) |
本公司的所有产品仅用于科学研究或者工业应用等非医疗目的,不可用于人类或动物的临床诊断或治疗,非药用,非食用。
暂无评论
本公司的所有产品仅用于科学研究或者工业应用等非医疗目的,不可用于人类或动物的临床诊断或治疗,非药用,非食用。
中文



发表回复