别名:ETAA16应用:IHC
反应种属:Human
规格:50μl/100μl
| Description |
|---|
| ETAA1 (Ewing’s tumor-associated antigen 1), also known as ETAA16, is a 926 amino acid cytoplasmic protein that is highly expressed in kidney, brain, liver and Ewing tumor cell lines. ETAA1 undergoes post-translational phosphorylation following DNA damage, most likely by either ATM or ATR, and is suggested to function as a tumour-specific cell surface antigen in Ewing’s family of tumour cell lines. The gene encoding ETAA1 maps to human chromosome 2, which consists of 237 million bases, encodes over 1,400 genes and makes up approximately 8% of the human genome. A number of genetic diseases are linked to genes on chromosome 2 including Harlequin icthyosis, sitosterolemia and Alstrom syndrome. |
| Specification | |
|---|---|
| Aliases | ETAA16 |
| Swissprot | Q9NY74 |
| Host/Isotype | Rabbit IgG |
| Storage | Store at 4°C short term. Aliquot and store at -20°C long term. Avoid freeze/thaw cycles. |
| Species Reactivity | Human |
| Immunogen | Synthetic peptide of human ETAA1 |
| Formulation | pH7.4 PBS, 0.05% NaN3, 40% Glycerol |
| Application | |
|---|---|
| IHC | 1/40-1/200 |
| ELISA | 1/5000-1/10000 |
![]() |
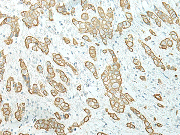
The image is immunohistochemistry of paraffin-embedded Human esophagus cancer tissue using P13353(ETAA1 Antibody) at dilution 1/40. (Original magnification: ×200) |
![]() |
The image is immunohistochemistry of paraffin-embedded Human breast cancer tissue using P13353(ETAA1 Antibody) at dilution 1/40. (Original magnification: ×200) |
本公司的所有产品仅用于科学研究或者工业应用等非医疗目的,不可用于人类或动物的临床诊断或治疗,非药用,非食用。
暂无评论
本公司的所有产品仅用于科学研究或者工业应用等非医疗目的,不可用于人类或动物的临床诊断或治疗,非药用,非食用。
中文


发表回复