别名:LBN应用:IHC
反应种属:Human
规格:50μl/100μl
| Description |
|---|
| This gene encodes a protein that functions in bone formation and skeletal development. Mutations in this gene, as well as in a neighboring gene that lies in a head-to-head configuration, cause Ellis-van Creveld syndrome, an autosomal recessive skeletal dysplasia that is also known as chondroectodermal dysplasia. Mutations in this gene also cause acrofacial dysostosis Weyers type, also referred to as Curry-Hall syndrome, a disease that combines limb and facial abnormalities. Alternative splicing results in multiple transcript variants. |
| Specification | |
|---|---|
| Aliases | LBN |
| Swissprot | Q86UK5 |
| Host/Isotype | Rabbit IgG |
| Storage | Store at 4°C short term. Aliquot and store at -20°C long term. Avoid freeze/thaw cycles. |
| Species Reactivity | Human |
| Immunogen | Synthetic peptide of human EVC2 |
| Formulation | pH7.4 PBS, 0.05% NaN3, 40% Glycerol |
| Application | |
|---|---|
| IHC | 1/50-1/200 |
| ELISA | 1/2000-1/5000 |
![]() |
The image is immunohistochemistry of paraffin-embedded Human cervical cancer tissue using P04861(EVC2 Antibody) at dilution 1/40. (Original magnification: ×200) |
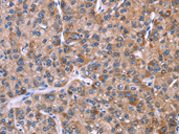
![]() |
The image is immunohistochemistry of paraffin-embedded Human liver cancer tissue using P04861(EVC2 Antibody) at dilution 1/40. (Original magnification: ×200) |
本公司的所有产品仅用于科学研究或者工业应用等非医疗目的,不可用于人类或动物的临床诊断或治疗,非药用,非食用。
暂无评论
本公司的所有产品仅用于科学研究或者工业应用等非医疗目的,不可用于人类或动物的临床诊断或治疗,非药用,非食用。
中文


发表回复