别名:EXDL2; C14orf114应用:WB,IHC
反应种属:Human, Mouse
规格:50μl/100μl
| Description |
|---|
| Exonuclease required for double-strand breaks resection and efficient homologous recombination. Plays a key role in controlling the initial steps of chromosomal break repair, it is recruited to chromatin in a damage-dependent manner and functionally interacts with the MRN complex to accelerate resection through its 3′-5′ exonuclease activity, which efficiently processes double-stranded DNA substrates containing nicks. |
| Specification | |
|---|---|
| Aliases | EXDL2; C14orf114 |
| Swissprot | Q9NVH0 |
| WB Predicted band size | 70 kDa |
| Host/Isotype | Rabbit IgG |
| Storage | Store at 4°C short term. Aliquot and store at -20°C long term. Avoid freeze/thaw cycles. |
| Species Reactivity | Human, Mouse |
| Immunogen | Fusion protein of human EXD2 |
| Formulation | pH7.4 PBS, 0.05% NaN3, 40% Glycerol |
| Application | |
|---|---|
| WB | 1/200-1/1000 |
| IHC | 1/40-1/200 |
| ELISA | 1/5000-1/10000 |
![]() |
Gel: 8%SDS-PAGE, Lysate: 40 μg, Lane: Mouse testis tissue lysate, Primary antibody: P02917(EXD2 Antibody) at dilution 1/250, Secondary antibody: Goat anti rabbit IgG at 1/8000 dilution, Exposure time: 1 minute |
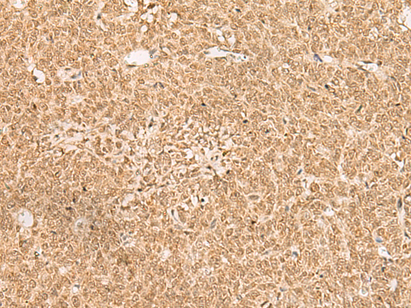
![]() |
The image is immunohistochemistry of paraffin-embedded Human ovarian cancer tissue using P02917(EXD2 Antibody) at dilution 1/35. (Original magnification: ×200) |
本公司的所有产品仅用于科学研究或者工业应用等非医疗目的,不可用于人类或动物的临床诊断或治疗,非药用,非食用。
暂无评论
本公司的所有产品仅用于科学研究或者工业应用等非医疗目的,不可用于人类或动物的临床诊断或治疗,非药用,非食用。
中文


发表回复