别名:p5; p6; RRP45; PMSCL1; Rrp45p; PM/Scl-75应用:WB,IHC
反应种属:Human
规格:50μl/100μl
| Description |
|---|
| This gene encodes a component of the human exosome, a exoribonuclease complex which processes and degrades RNA in the nucleus and cytoplasm. This component may play a role in mRNA degradation and the polymyositis/scleroderma autoantigen complex. Alternative splicing results in multiple transcript variants. |
| Specification | |
|---|---|
| Aliases | p5; p6; RRP45; PMSCL1; Rrp45p; PM/Scl-75 |
| Swissprot | Q06265 |
| WB Predicted band size | 49 kDa |
| Host/Isotype | Rabbit IgG |
| Storage | Store at 4°C short term. Aliquot and store at -20°C long term. Avoid freeze/thaw cycles. |
| Species Reactivity | Human |
| Immunogen | Synthetic peptide of human EXOSC9 |
| Formulation | pH7.4 PBS, 0.05% NaN3, 40% Glycerol |
| Application | |
|---|---|
| WB | 1/200-1/1000 |
| IHC | 1/30-1/150 |
| ELISA | 1/5000-1/10000 |
![]() |
Gel: 8%SDS-PAGE, Lysate: 40 μg, Lane 1-2: HEPG2 cell and Human heart tissue lysates, Primary antibody: P06476(EXOSC9 Antibody) at dilution 1/250, Secondary antibody: Goat anti rabbit IgG at 1/8000 dilution, Exposure time: 1 minute |
![]() |
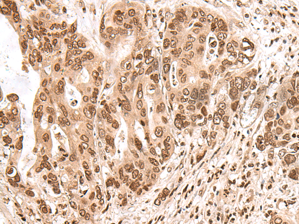
The image is immunohistochemistry of paraffin-embedded Human gastric cancer tissue using P06476(EXOSC9 Antibody) at dilution 1/25. (Original magnification: ×200) |
![]() |
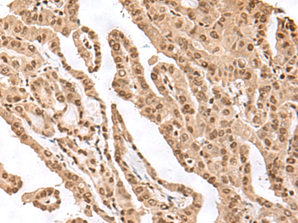
The image is immunohistochemistry of paraffin-embedded Human thyroid cancer tissue using P06476(EXOSC9 Antibody) at dilution 1/25. (Original magnification: ×200) |
本公司的所有产品仅用于科学研究或者工业应用等非医疗目的,不可用于人类或动物的临床诊断或治疗,非药用,非食用。
暂无评论
本公司的所有产品仅用于科学研究或者工业应用等非医疗目的,不可用于人类或动物的临床诊断或治疗,非药用,非食用。
中文



发表回复