别名:Histone-lysine N-methyltransferase EZH1, ENX-2, Enhancer of zeste homolog 1, EZH1, KIAA0388应用:WB,IHC
反应种属:Human
规格:50μl/100μl
| Description |
|---|
| EZH1 encodes a protein of 747 amino acids that displays 55% amino acid identity overall with the Drosophila homolog.1 The strong sequence conservation suggested potential roles for EZH1 in human development as a transcriptional regulator and as a component of protein complexes that preserve heterochromatin stability. EZH1 is expressed as 2 major transcripts in all adult and fetal human tissues evaluated.. Analysis of an EZH1 cDNA revealed an unusual splicing event involving EZH1 and a tandemly linked gene GPR2 and suggested a potential mechanism for modifying the EZH1 protein in the conserved C-terminal domain. The GPR2 gene maps to 17q21.1-q21.3 in the vicinity of the BRCA1 gene. |
| Specification | |
|---|---|
| Aliases | Histone-lysine N-methyltransferase EZH1, ENX-2, Enhancer of zeste homolog 1, EZH1, KIAA0388 |
| Entrez GeneID | 2145 |
| Swissprot | Q92800 |
| WB Predicted band size | 85.3kDa |
| Host/Isotype | Rabbit IgG |
| Storage | Store at 4°C short term. Aliquot and store at -20°C long term. Avoid freeze/thaw cycles. |
| Species Reactivity | Human |
| Immunogen | This EZH1 antibody is generated from rabbits immunized with a KLH conjugated synthetic peptide between 393-422 amino acids from the Central region of human EZH1. |
| Formulation | Purified polyclonal antibody supplied in PBS with 0.05% sodium azide. This antibody is purified through a protein G column, eluted with high and low pH buffers and neutralized immediately, followed by dialysis against PBS. |
| Application | |
|---|---|
| WB | 1/1000 |
| IHC | 1/100-1/500 |
![]() |
Western blot analysis of anti-EZH1 Antibody (Center) (Cat.#P30079) in 293 cell line lysates (35ug/lane). EZH1(arrow) was detected using the purified Pab. |
![]() |
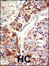
Formalin-fixed and paraffin-embedded human cancer tissue reacted with the primary antibody, which was peroxidase-conjugated to the secondary antibody, followed by DAB staining. This data demonstrates the use of this antibody for immunohistochemistry; clinical relevance has not been evaluated. BC = breast carcinoma; HC = hepatocarcinoma. |
![]() |
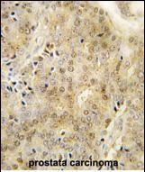
Formalin-fixed and paraffin-embedded human prostata carcinoma tissue reacted with EZH1 Antibody (Center) (Cat.#P30079), which was peroxidase-conjugated to the secondary antibody, followed by DAB staining. This data demonstrates the use of this antibody for immunohistochemistry; clinical relevance has not been evaluated. |
本公司的所有产品仅用于科学研究或者工业应用等非医疗目的,不可用于人类或动物的临床诊断或治疗,非药用,非食用。
暂无评论
本公司的所有产品仅用于科学研究或者工业应用等非医疗目的,不可用于人类或动物的临床诊断或治疗,非药用,非食用。
中文



发表回复