别名:PAR3; PAR-3应用:IHC
反应种属:Human
规格:50μl/100μl
| Description |
|---|
| This gene encodes a member of the protease-activated receptor (PAR) family which is a subfamily of the seven transmembrane G protein-coupled cell surface receptor family. The encoded protein acts as a cofactor in the thrombin-mediated cleavage and activation of the protease-activated receptor family member PAR4. The encoded protein plays an essential role in hemostasis and thrombosis. Alternate splicing results in multiple transcript variants that encode different isoforms. |
| Specification | |
|---|---|
| Aliases | PAR3; PAR-3 |
| Swissprot | O00254 |
| Host/Isotype | Rabbit IgG |
| Storage | Store at 4°C short term. Aliquot and store at -20°C long term. Avoid freeze/thaw cycles. |
| Species Reactivity | Human |
| Immunogen | Synthetic peptide of human F2RL2 |
| Formulation | pH7.4 PBS, 0.05% NaN3, 40% Glycerol |
| Application | |
|---|---|
| IHC | 1/25-1/100 |
| ELISA | 1/1000-1/2000 |
![]() |
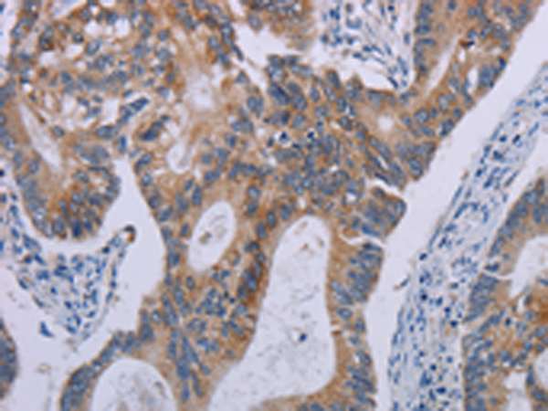
The image is immunohistochemistry of paraffin-embedded Human prostate cancer tissue using P12020(F2RL2 Antibody) at dilution 1/30. (Original magnification: ×200) |
![]() |
The image is immunohistochemistry of paraffin-embedded Human colon cancer tissue using P12020(F2RL2 Antibody) at dilution 1/30. (Original magnification: ×200) |
本公司的所有产品仅用于科学研究或者工业应用等非医疗目的,不可用于人类或动物的临床诊断或治疗,非药用,非食用。
暂无评论
本公司的所有产品仅用于科学研究或者工业应用等非医疗目的,不可用于人类或动物的临床诊断或治疗,非药用,非食用。
中文


发表回复