别名:Protein FAM20A, FAM20A应用:WB,IHC,FCM
反应种属:Human
规格:50μl/100μl
| Specification | |
|---|---|
| Aliases | Protein FAM20A, FAM20A |
| Entrez GeneID | 54757 |
| Swissprot | Q96MK3 |
| WB Predicted band size | 61.4kDa |
| Host/Isotype | Rabbit IgG |
| Storage | Store at 4°C short term. Aliquot and store at -20°C long term. Avoid freeze/thaw cycles. |
| Species Reactivity | Human |
| Immunogen | This FA20A antibody is generated from rabbits immunized with a KLH conjugated synthetic peptide between 48-77 amino acids from the N-terminal region of human FA20A. |
| Formulation | Purified polyclonal antibody supplied in PBS with 0.05% sodium azide. This antibody is purified through a protein A column, followed by peptide affinity purification. |
| Application | |
|---|---|
| WB | 1/1000 |
| IHC | 1/100-1/500 |
| FCM | 1/10-1/50 |
![]() |
Western blot analysis of FA20A Antibody (N-term) (Cat. #P30615) in MCF-7 cell line lysates (35ug/lane). FA20A (arrow) was detected using the purified Pab. |
![]() |
FA20A Antibody (N-term) (Cat. #P30615) flow cytometric analysis of MCF-7 cells (right histogram) compared to a negative control cell (left histogram).FITC-conjugated goat-anti-rabbit secondary antibodies were used for the analysis. |
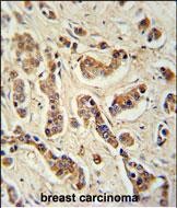
![]() |
FA20A Antibody (N-term) (Cat. #P30615) immunohistochemistry analysis in formalin fixed and paraffin embedded human breast carcinoma tissue followed by peroxidase conjugation of the secondary antibody and DAB staining. This data demonstrates the use of the FA20A Antibody (N-term) for immunohistochemistry. Clinical relevance has not been evaluated. |
本公司的所有产品仅用于科学研究或者工业应用等非医疗目的,不可用于人类或动物的临床诊断或治疗,非药用,非食用。
暂无评论
本公司的所有产品仅用于科学研究或者工业应用等非医疗目的,不可用于人类或动物的临床诊断或治疗,非药用,非食用。
中文



发表回复