别名:Long-chain-fatty-acid–CoA ligase 6, Long-chain acyl-CoA synthetase 6, LACS 6, ACSL6, ACS2, FACL6, KIAA0837, LACS5应用:WB,IHC
反应种属:Human, Mouse
规格:50μl/100μl
| Description |
|---|
| FACL6 is involved in activation of long-chain fatty acids for both synthesis of cellular lipids, and degradation via beta-oxidation. It plays an important role in fatty acid metabolism in brain and the acyl-CoAs produced may be utilized exclusively for the synthesis of the brain lipid. FACL6 is expressed predominantly in erythrocyte precursors, in particular in reticulocytes, fetal blood cells derieved from fetal liver, haemopoietic stem cells from cord blood, bone marrow, and brain. Expression is low at earlier stages of erythroid development but is very high in reticulocytes. This protein is involved in myelodysplastic syndrome (MDS) with basophilia, acute myelogenous leukemia (AML) with eosinophilia, and acute eosinophilic leukemia (AEL). It is characterized by a chromosomal translocation t(5;12)(q31;p13) that involves ETV6 and ACSL6. |
| Specification | |
|---|---|
| Aliases | Long-chain-fatty-acid–CoA ligase 6, Long-chain acyl-CoA synthetase 6, LACS 6, ACSL6, ACS2, FACL6, KIAA0837, LACS5 |
| Entrez GeneID | 23305 |
| Swissprot | Q9UKU0 |
| WB Predicted band size | 77.8kDa |
| Host/Isotype | Rabbit IgG |
| Storage | Store at 4°C short term. Aliquot and store at -20°C long term. Avoid freeze/thaw cycles. |
| Species Reactivity | Human, Mouse |
| Immunogen | This FACL6 antibody is generated from rabbits immunized with a KLH conjugated synthetic peptide between 240-270 amino acids from the Central region of human FACL6. |
| Formulation | Purified polyclonal antibody supplied in PBS with 0.05% sodium azide. This antibody is prepared by Saturated Ammonium Sulfate (SAS) precipitation followed by dialysis against PBS. |
| Application | |
|---|---|
| WB | 1/1000 |
| IHC | 1/100-1/500 |
![]() |
The anti-FACL6 Pab (Cat. #P30080) is used in Western blot to detect FACL6 in mouse liver tissue lysate. |
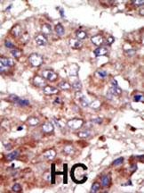
![]() |
Formalin-fixed and paraffin-embedded human cancer tissue reacted with the primary antibody, which was peroxidase-conjugated to the secondary antibody, followed by AEC staining. This data demonstrates the use of this antibody for immunohistochemistry; clinical relevance has not been evaluated. BC = breast carcinoma; HC = hepatocarcinoma. |
本公司的所有产品仅用于科学研究或者工业应用等非医疗目的,不可用于人类或动物的临床诊断或治疗,非药用,非食用。
暂无评论
本公司的所有产品仅用于科学研究或者工业应用等非医疗目的,不可用于人类或动物的临床诊断或治疗,非药用,非食用。
中文


发表回复