别名:hFAF1, CGI-03, HFAF1s, UBXD12, UBXN3A应用:IHC
反应种属:Human, Mouse, Rat
规格:50μl/100μl
| Description |
|---|
| Interaction of Fas ligand (TNFSF6) with the FAS antigen (TNFRSF6) mediates programmed cell death, also called apoptosis, in a number of organ systems. The protein encoded by this gene binds to FAS antigen and can initiate apoptosis or enhance apoptosis initiated through FAS antigen. Initiation of apoptosis by the protein encoded by this gene requires a ubiquitin-like domain but not the FAS-binding domain. |
| Specification | |
|---|---|
| Aliases | hFAF1, CGI-03, HFAF1s, UBXD12, UBXN3A |
| Swissprot | Q9UNN5 |
| Host/Isotype | Rabbit IgG |
| Storage | Store at 4°C short term. Aliquot and store at -20°C long term. Avoid freeze/thaw cycles. |
| Species Reactivity | Human, Mouse, Rat |
| Immunogen | Synthetic peptide of human FAF1 |
| Formulation | pH7.4 PBS, 0.05% NaN3, 40% Glycerol |
| Application | |
|---|---|
| IHC | 1/50-1/200 |
| ELISA | 1/2000-1/5000 |
![]() |
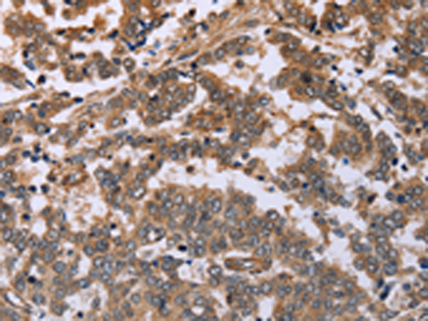
The image is immunohistochemistry of paraffin-embedded Human gasrtic cancer tissue using P03912(FAF1 Antibody) at dilution 1/40. (Original magnification: ×200) |
![]() |
The image is immunohistochemistry of paraffin-embedded Human liver cancer tissue using P03912(FAF1 Antibody) at dilution 1/40. (Original magnification: ×200) |
本公司的所有产品仅用于科学研究或者工业应用等非医疗目的,不可用于人类或动物的临床诊断或治疗,非药用,非食用。
暂无评论
本公司的所有产品仅用于科学研究或者工业应用等非医疗目的,不可用于人类或动物的临床诊断或治疗,非药用,非食用。
中文


发表回复