别名:Biorientation of chromosomes in cell division protein 1, Biorientation defective protein 1, Protein FAM44B, BOD1, FAM44B应用:WB,IHC,FCM
反应种属:Human
规格:50μl/100μl
| Description |
|---|
| FAM44B required for proper chromosome biorientation through the detection or correction of syntelic attachments in mitotic spindles. |
| Specification | |
|---|---|
| Aliases | Biorientation of chromosomes in cell division protein 1, Biorientation defective protein 1, Protein FAM44B, BOD1, FAM44B |
| Entrez GeneID | 91272 |
| Swissprot | Q96IK1 |
| WB Predicted band size | 19.2kDa |
| Host/Isotype | Rabbit IgG |
| Storage | Store at 4°C short term. Aliquot and store at -20°C long term. Avoid freeze/thaw cycles. |
| Species Reactivity | Human |
| Immunogen | This FAM44B antibody is generated from rabbits immunized with a KLH conjugated synthetic peptide between 127-155 amino acids from the C-terminal region of human FAM44B. |
| Formulation | Purified polyclonal antibody supplied in PBS with 0.05% sodium azide. This antibody is purified through a protein A column, followed by peptide affinity purification. |
| Application | |
|---|---|
| WB | 1/1000 |
| IHC | 1/100-1/500 |
| FCM | 1/10-1/50 |
![]() |
Western blot analysis of FAM44B Antibody (C-term) (Cat. #P30595) in MCF-7 cell line lysates (35ug/lane). FAM44B (arrow) was detected using the purified Pab. |
![]() |
FAM44B Antibody (C-term) (Cat. #P30595) flow cytometric analysis of MCF-7 cells (right histogram) compared to a negative control cell (left histogram).FITC-conjugated goat-anti-rabbit secondary antibodies were used for the analysis. |
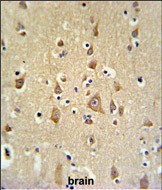
![]() |
FAM44B Antibody (C-term) (Cat. #P30595) IHC analysis in formalin fixed and paraffin embedded brain tissue followed by peroxidase conjugation of the secondary antibody and DAB staining. This data demonstrates the use of the FAM44B Antibody (C-term) for immunohistochemistry. Clinical relevance has not been evaluated. |
本公司的所有产品仅用于科学研究或者工业应用等非医疗目的,不可用于人类或动物的临床诊断或治疗,非药用,非食用。
暂无评论
本公司的所有产品仅用于科学研究或者工业应用等非医疗目的,不可用于人类或动物的临床诊断或治疗,非药用,非食用。
中文



发表回复