别名:Protein FAM92A1, FAM92A1应用:WB,IHC
反应种属:Human
规格:50μl/100μl
| Description |
|---|
| The function of this protein has not been specifically defined. |
| Specification | |
|---|---|
| Aliases | Protein FAM92A1, FAM92A1 |
| Entrez GeneID | 137392 |
| Swissprot | A1XBS5 |
| WB Predicted band size | 33.4kDa |
| Host/Isotype | Rabbit IgG |
| Storage | Store at 4°C short term. Aliquot and store at -20°C long term. Avoid freeze/thaw cycles. |
| Species Reactivity | Human |
| Immunogen | This FAM92A1 antibody is generated from rabbits immunized with a KLH conjugated synthetic peptide between 113-141 amino acids from the Central region of human FAM92A1. |
| Formulation | Purified polyclonal antibody supplied in PBS with 0.05% sodium azide. This antibody is purified through a protein A column, followed by peptide affinity purification. |
| Application | |
|---|---|
| WB | 1/1000 |
| IHC | 1/100-1/500 |
![]() |
Western blot analysis of FAM92A1 Antibody (Center) (Cat. #P30639) in SK-BR-3 cell line lysates (35ug/lane).FAM92A1 (arrow) was detected using the purified Pab. |
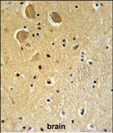
![]() |
FAM92A1 Antibody (Center) (Cat. #P30639) IHC analysis in formalin fixed and paraffin embedded human brain tissue followed by peroxidase conjugation of the secondary antibody and DAB staining. This data demonstrates the use of the FAM92A1 Antibody (Center) for immunohistochemistry. Clinical relevance has not been evaluated. |
本公司的所有产品仅用于科学研究或者工业应用等非医疗目的,不可用于人类或动物的临床诊断或治疗,非药用,非食用。
暂无评论
本公司的所有产品仅用于科学研究或者工业应用等非医疗目的,不可用于人类或动物的临床诊断或治疗,非药用,非食用。
中文


发表回复