别名:FA2; FAB; FACB; FAAP90; FAAP95应用:WB,IHC
反应种属:Human
规格:50μl/100μl
| Description |
|---|
| This gene encodes a member of the Fanconi anemia complementation group B. This protein is assembled into a nucleoprotein complex that is involved in the repair of DNA lesions. Mutations in this gene can cause chromosome instability and VACTERL syndrome with hydrocephalus. |
| Specification | |
|---|---|
| Aliases | FA2; FAB; FACB; FAAP90; FAAP95 |
| Swissprot | Q8NB91 |
| WB Predicted band size | 98 kDa |
| Host/Isotype | Rabbit IgG |
| Storage | Store at 4°C short term. Aliquot and store at -20°C long term. Avoid freeze/thaw cycles. |
| Species Reactivity | Human |
| Immunogen | Synthetic peptide of human FANCB |
| Formulation | pH7.4 PBS, 0.05% NaN3, 40% Glycerol |
| Application | |
|---|---|
| WB | 1/500-1/2000 |
| IHC | 1/40-1/200 |
| ELISA | 1/5000-1/10000 |
![]() |
Gel: 8%SDS-PAGE, Lysate: 40 μg, Lane: Hela cell lysate, Primary antibody: P13393(FANCB Antibody) at dilution 1/550, Secondary antibody: Goat anti rabbit IgG at 1/8000 dilution, Exposure time: 3 minutes |
![]() |
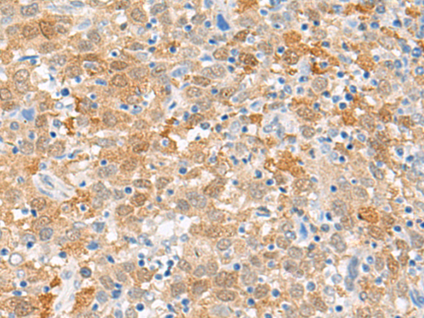
The image is immunohistochemistry of paraffin-embedded Human cervical cancer tissue using P13393(FANCB Antibody) at dilution 1/60. (Original magnification: ×200) |
![]() |
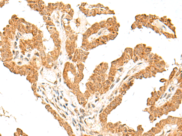
The image is immunohistochemistry of paraffin-embedded Human thyroid cancer tissue using P13393(FANCB Antibody) at dilution 1/60. (Original magnification: ×200) |
本公司的所有产品仅用于科学研究或者工业应用等非医疗目的,不可用于人类或动物的临床诊断或治疗,非药用,非食用。
暂无评论
本公司的所有产品仅用于科学研究或者工业应用等非医疗目的,不可用于人类或动物的临床诊断或治疗,非药用,非食用。
中文



发表回复