别名:Fanconi anemia group G protein, Protein FACG, DNA repair protein XRCC9, FANCG, XRCC9应用:WB,IHC
反应种属:Human
规格:50μl/100μl
| Description |
|---|
| The Fanconi anemia complementation group (FANC) currently includes FANCA, FANCB, FANCC, FANCD1 (also called BRCA2), FANCD2, FANCE, FANCF, FANCG, FANCI, FANCJ (also called BRIP1), FANCL, FANCM and FANCN (also called PALB2). The previously defined group FANCH is the same as FANCA. Fanconi anemia is a genetically heterogeneous recessive disorder characterized by cytogenetic instability, hypersensitivity to DNA crosslinking agents, increased chromosomal breakage, and defective DNA repair. The members of the Fanconi anemia complementation group do not share sequence similarity; they are related by their assembly into a common nuclear protein complex. This gene encodes the protein for complementation group G. |
| Specification | |
|---|---|
| Aliases | Fanconi anemia group G protein, Protein FACG, DNA repair protein XRCC9, FANCG, XRCC9 |
| Entrez GeneID | 2189 |
| Swissprot | O15287 |
| WB Predicted band size | 68.5kDa |
| Host/Isotype | Rabbit IgG |
| Storage | Store at 4°C short term. Aliquot and store at -20°C long term. Avoid freeze/thaw cycles. |
| Species Reactivity | Human |
| Immunogen | This FANCG antibody is generated from rabbits immunized with a KLH conjugated synthetic peptide between 540-568 amino acids from the C-terminal region of human FANCG. |
| Formulation | Purified polyclonal antibody supplied in PBS with 0.05% sodium azide. This antibody is purified through a protein A column, followed by peptide affinity purification. |
| Application | |
|---|---|
| WB | 1/1000 |
| IHC | 1/100-1/500 |
![]() |
FANCG Antibody (C-term) (Cat. #P31511) western blot analysis in MDA-MB453 cell line lysates (35ug/lane).This demonstrates the FANCG antibody detected the FANCG protein (arrow). |
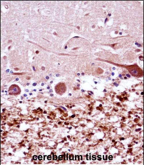
![]() |
FANCG Antibody (C-term) (P31511)immunohistochemistry analysis in formalin fixed and paraffin embedded human cerebellum tissue followed by peroxidase conjugation of the secondary antibody and DAB staining.This data demonstrates the use of FANCG Antibody (C-term) for immunohistochemistry. Clinical relevance has not been evaluated. |
本公司的所有产品仅用于科学研究或者工业应用等非医疗目的,不可用于人类或动物的临床诊断或治疗,非药用,非食用。
暂无评论
本公司的所有产品仅用于科学研究或者工业应用等非医疗目的,不可用于人类或动物的临床诊断或治疗,非药用,非食用。
中文


发表回复