别名:FATJ; FAT-J; CDHF14; CDHR11; HKLLS2; VMLDS2; NBLA00548应用:IHC
反应种属:Human
规格:50μl/100μl
| Description |
|---|
| The protein encoded by this gene is a member of the protocadherin family. This gene may play a role in regulating planar cell polarity (PCP). Studies in mice suggest that loss of PCP signaling may cause cystic kidney disease, and mutations in this gene have been associated with Van Maldergem Syndrome 2. Alternatively spliced transcript variants have been noted for this gene. |
| Specification | |
|---|---|
| Aliases | FATJ; FAT-J; CDHF14; CDHR11; HKLLS2; VMLDS2; NBLA00548 |
| Swissprot | Q6V0I7 |
| Host/Isotype | Rabbit IgG |
| Storage | Store at 4°C short term. Aliquot and store at -20°C long term. Avoid freeze/thaw cycles. |
| Species Reactivity | Human |
| Immunogen | Synthetic peptide of human FAT4 |
| Formulation | pH7.4 PBS, 0.05% NaN3, 40% Glycerol |
| Application | |
|---|---|
| IHC | 1/25-1/100 |
| ELISA | 1/2000-1/5000 |
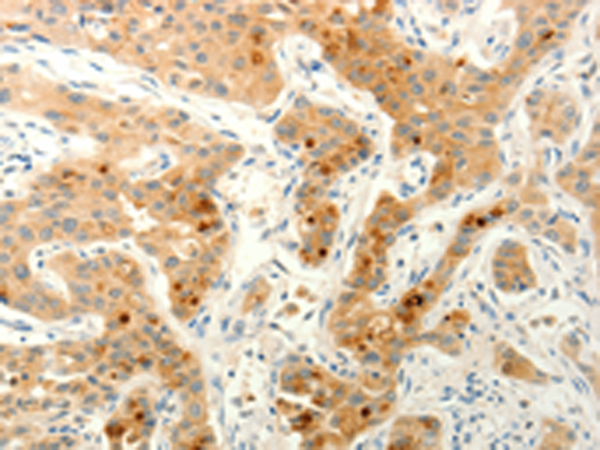
![]() |
The image is immunohistochemistry of paraffin-embedded Human liver cancer tissue using P11406(FAT4 Antibody) at dilution 1/20. (Original magnification: ×200) |
![]() |
The image is immunohistochemistry of paraffin-embedded Human lung cancer tissue using P11406(FAT4 Antibody) at dilution 1/20. (Original magnification: ×200) |
本公司的所有产品仅用于科学研究或者工业应用等非医疗目的,不可用于人类或动物的临床诊断或治疗,非药用,非食用。
暂无评论
本公司的所有产品仅用于科学研究或者工业应用等非医疗目的,不可用于人类或动物的临床诊断或治疗,非药用,非食用。
中文


发表回复