别名:F-box/LRR-repeat protein 17, F-box and leucine-rich repeat protein 17, F-box only protein 13, FBXL17, FBL17, FBX13, FBXO13应用:WB,IHC,FCM
反应种属:Human, Mouse
规格:50μl/100μl
| Description |
|---|
| Substrate-recognition component of the SCF (SKP1-CUL1-F- box protein)-type E3 ubiquitin ligase complex (By similarity). |
| Specification | |
|---|---|
| Aliases | F-box/LRR-repeat protein 17, F-box and leucine-rich repeat protein 17, F-box only protein 13, FBXL17, FBL17, FBX13, FBXO13 |
| Entrez GeneID | 64839 |
| Swissprot | Q9UF56 |
| WB Predicted band size | 75.7kDa |
| Host/Isotype | Rabbit IgG |
| Storage | Store at 4°C short term. Aliquot and store at -20°C long term. Avoid freeze/thaw cycles. |
| Species Reactivity | Human, Mouse |
| Immunogen | This FBXL17 Isoform 2 antibody is generated from a rabbit immunized with a KLH conjugated synthetic peptide between 262-297 amino acids from the C-terminal region of human FBXL17 Isoform 2. |
| Application | |
|---|---|
| WB | 1/1000 |
| IHC | 1/100-1/500 |
| FCM | 1/25 |
![]() |
Western blot analysis of lysate from MCF-7 cell line, using FBXL17 Isoform 2 Antibody (C-term) (Cat. #P32612). P32612 was diluted at 1:1000. A goat anti-rabbit IgG H&L(HRP) at 1:5000 dilution was used as the secondary antibody. Lysate at 35ug. |
![]() |
Flow cytometric analysis of MCF-7 cells using FBXL17 Isoform 2 Antibody (C-term)(green, Cat#P32612) compared to an isotype control of rabbit IgG(blue). P32612 was diluted at 1:25 dilution. An Alexa Fluor® 488 goat anti-rabbit lgG at 1:400 dilution was used as the secondary antibody. |
![]() |
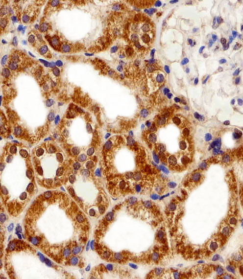
Immunohistochemical analysis of paraffin-embedded H. kidney section using FBXL17 Isoform 2 Antibody (C-term)(Cat#P32612). P32612 was diluted at 1:100 dilution. A peroxidase-conjugated goat anti-rabbit IgG at 1:400 dilution was used as the secondary antibody, followed by DAB staining. |
![]() |
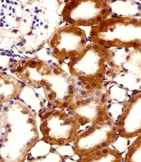
Immunohistochemical analysis of paraffin-embedded R. kidney section using FBXL17 Isoform 2 Antibody (C-term)(Cat#P32612). P32612 was diluted at 1:100 dilution. A peroxidase-conjugated goat anti-rabbit IgG at 1:400 dilution was used as the secondary antibody, followed by DAB staining. |
![]() |
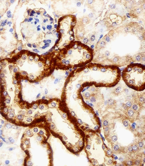
Immunohistochemical analysis of paraffin-embedded M. kidney section using FBXL17 Isoform 2 Antibody (C-term)(Cat#P32612). P32612 was diluted at 1:100 dilution. A peroxidase-conjugated goat anti-rabbit IgG at 1:400 dilution was used as the secondary antibody, followed by DAB staining. |
本公司的所有产品仅用于科学研究或者工业应用等非医疗目的,不可用于人类或动物的临床诊断或治疗,非药用,非食用。
暂无评论
本公司的所有产品仅用于科学研究或者工业应用等非医疗目的,不可用于人类或动物的临床诊断或治疗,非药用,非食用。
中文





发表回复